Cerebral foreign body reaction due to hydrophilic polymer embolization following aneurysm treatment by pipeline flow diversion device
- PMID: 30922199
- PMCID: PMC6607610
- DOI: 10.1177/1591019919830767
Cerebral foreign body reaction due to hydrophilic polymer embolization following aneurysm treatment by pipeline flow diversion device
Abstract
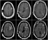
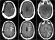
The use of flow diverting stents for wide based, intracranial aneurysms has become an invaluable treatment option. While intracranial hemorrhage and ischemic stroke from dislodged atherosclerotic emboli are common adverse events, the potential for delayed granulomatous inflammation from possible hydrophilic polymer emboli is rarely recognized. We present a unique case in which visible chipping of the pusher wire for stent placement was observed, followed by clinical and radiographic evidence suggestive of a delayed foreign body reaction to intracranial hydrophilic polymer emboli. A 55-year-old woman underwent placement of a Pipeline embolization device for a left-sided, broad-based aneurysm at the base of the internal carotid artery and posterior communicating artery. Two months later she developed right-sided focal neurological deficits. Imaging showed ipsilateral focal edema and enhancing lesions with contrast. Although not confirmed with biopsy and histopathology, clinical and radiographic evidence suggests that this patient probably experienced a delayed foreign body reaction to hydrophilic polymer emboli from compromised procedural equipment during flow diverting stent placement. Although previously described, this is the first instance to our knowledge in whichvisible chipping of the pusher wire was observed on a Pipeline embolization device.
Keywords: Granulomatous inflammation; cerebral aneurysm; flow diverting stent; foreign body reaction; hydrophilic polymer embolization.
Figures
References
-
- Becske T, Kallmes DF, Saataci I, et al. Pipeline for uncoilable or failed aneurysms: results from a multicenter clinical trial. Radiology 2013; 267: 858–868. - PubMed
Publication types
MeSH terms
Substances
LinkOut - more resources
Full Text Sources
Medical
