The imaging appearances of various pericardial disorders
- PMID: 30927107
- PMCID: PMC6441059
- DOI: 10.1186/s13244-019-0728-4
The imaging appearances of various pericardial disorders
Abstract
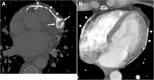
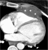
The pericardium could be involved in a variety of clinical disorders. The imaging findings are not specific for an individual pathology in most of the cases; however, patient's clinical history may guide radiologist to a definitive diagnosis. Congenital absence of the pericardium could be recognized with the imaging appearance of interposed lung tissue between the main pulmonary artery and aorta. Pericardial effusion is a non-specific condition that may occur due to inflammatory, infectious, and neoplastic disorders. Cardiac tamponade may occur in case of massive or rapid accumulation of fluid in the pericardial sac. Pericardial calcification is a common and easily identified entity on a computed tomography (CT) scan. Presence of calcification and/or fibrosis may result in pericardial constriction. Nevertheless, the pulsation of an adjacent coronary artery may prevent calcification formation in a focal area and consequently may result in pericardial diverticulum containing epicardial fat and coronary artery. The imaging findings encountered in patients with pericardial hydatid disease and Erdheim-Chester disease may mimic those of pericardial neoplasia. Pericardial adhesions and pedicled fat flaps may cause confusion on a CT scan in the post-surgical period following cardiac surgery. Pericardial fat necrosis can be diagnosed by CT in patients with chest pain. The radiologists should be familiar with the medical devices placed in pericardial space for certain individual indications. A pericardial patch and temporary epicardial pacemaker wires could be identified on a CT scan.
Keywords: Absence of the pericardium; Gastropericardial fistula; Hydatid disease; Pericardial diverticulum; Pericardial mesothelioma; Pericardial metastases; Pericardial patch.
Conflict of interest statement
Competing interests
The authors declare that they have no competing interests.
Publisher’s Note
Springer Nature remains neutral with regard to jurisdictional claims in published maps and institutional affiliations.
Figures



























References
Publication types
LinkOut - more resources
Full Text Sources