Skip to main page content
U.S. flag

An official website of the United States government

Dot gov

The .gov means it’s official.
Federal government websites often end in .gov or .mil. Before sharing sensitive information, make sure you’re on a federal government site.

Https

The site is secure.
The https:// ensures that you are connecting to the official website and that any information you provide is encrypted and transmitted securely.

Access keys NCBI Homepage MyNCBI Homepage Main Content Main Navigation
. 2019 Jan 21;11(1):e3933.
doi: 10.7759/cureus.3933.

Diagnostic Accuracy of Multidetector Computed Tomography in Detection of Esophageal Varices

Affiliations

Diagnostic Accuracy of Multidetector Computed Tomography in Detection of Esophageal Varices

Maria Hassan et al. Cureus. .

Abstract

Objective To determine the diagnostic accuracy of multidetector computed tomography (MDCT) in the detection of esophageal varices by taking endoscopy as the reference standard. Materials and methods This was a cross-sectional prospective study conducted at the Department of Radiology, Aga Khan University Hospital, (AKUH) Karachi, for the duration of 12 months from August 1, 2014 to July 31, 2015. One hundred ninety-six patients with a suspicion of chronic liver disease/cirrhosis undergoing 64 slice MDCT were enrolled in our study and underwent computed tomography (CT) scanning in the Department of Radiology at AKUH. Biphasic CT was performed with images obtained during the hepatic arterial phase (30-second delay) and the portal venous phase (65-second delay) after the intravenous (IV) injection of 120 mL of nonionic contrast material at a rate of 3.5 mL/s. The presence of esophageal varices was evaluated on MDCT with endoscopy as gold standard. The sensitivity, specificity, negative predictive value and positive predictive value, and accuracy of MDCT were assessed against the gold standard. Results Our results yielded an MDCT sensitivity of 98.96%, specificity of 100%, positive predictive value (PPV) of 100%, negative predictive value (NPV) of 66.67%, and diagnostic accuracy of 98.97% for esophageal varices in chronic liver disease (CLD) patients. Conclusion The rate of detection of esophageal varices in patients with chronic liver disease on MDCT in our country is comparable to the international data and we advocate that MDCT should be used as a screening tool in patients with chronic liver disease to exclude esophageal varices.

Keywords: esophageal varices; mdct; multidetector computed tomography.

PubMed Disclaimer

Conflict of interest statement

The authors have declared that no competing interests exist.

Figures

Figure 1
Figure 1. Endoscopic findings
Figure 2
Figure 2. MDCT findings
MDCT - multidetector computed tomography
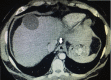
Figure 3
Figure 3. MDCT axial post contrast image of a patient with chronic liver disease showing nodular mucosal enhancement of esophagus representing esophageal varices

References

    1. Update in hepatology. Maddrey WC. Ann Intern Med. 2001;134:216–223. - PubMed
    1. Hepatitis C as a cause of chronic liver disease in northern Pakistan. Malik IA, Ahmad N, Luqman M, et al. http://jpma.org.pk/full_article_text.php?article_id=5058. J Pak Med Assoc. 1992;42:67–68. - PubMed
    1. Hepatitis B virus in Pakistan: a systematic review of prevalence, risk factors, awareness status and genotypes. Ali M, Idrees M, Ali L, et al. Virol J. 2011;8:102. - PMC - PubMed
    1. A systematic review of hepatitis C virus epidemiology in Asia, Australia and Egypt. Sievert W, Altraif I, Razavi HA, et al. Liver International. 2011;31:61–80. - PubMed
    1. Detection of esophageal varices in liver cirrhosis using non-invasive parameters. Prihartini J, Lesmana LA, Manan C, Gani RA. https://www.ncbi.nlm.nih.gov/pubmed/16110174. Acta Med Indones. 2005;37:126–131. - PubMed

LinkOut - more resources