Pheochromocytoma and sinus node dysfunction
- PMID: 30956604
- PMCID: PMC6442887
- DOI: 10.1080/08998280.2018.1533310
Pheochromocytoma and sinus node dysfunction
Abstract
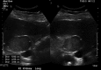
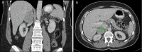
Pheochromocytomas are rare catecholamine-producing neuroendocrine tumors that can lead to detrimental outcomes; if identified and treated, they are associated with a good prognosis. The clinical presentation can vary greatly but is classically associated with tachycardia, headaches, and hypertension. Bradyarrhythmias and sinus node dysfunction are uncommon complications of this condition. We present a case of pheochromocytoma associated with sinus pauses and junctional escape rhythms that had complete resolution of sinus node dysfunction after adrenalectomy.
Keywords: Catecholamine; junctional escape rhythms; pheochromocytoma; sick sinus syndrome; sinus arrest; sinus node dysfunction.
Figures


References
-
- Baguet JP, Hammer L, Mazzuco TL, et al. . Circumstances of discovery of phaeochromocytoma: a retrospective study of 41 consecutive patients. Eur J Endocrinol. 2004;150(5):681–686. - PubMed
-
- Sutton MG, Sheps SG, Lie JT. Prevalence of clinically unsuspected pheochromocytoma. Review of a 50-year autopsy series. Mayo Clin Proc. 1981;56(6):354–360. - PubMed
Publication types
LinkOut - more resources
Full Text Sources