Management of Symptomatic Hepatic "Mega" Hemangioma
- PMID: 30972235
- PMCID: PMC6452022
Management of Symptomatic Hepatic "Mega" Hemangioma
Abstract
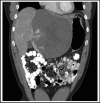
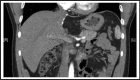
The majority of giant hepatic cavernous hemangiomas are asymptomatic and can safely be observed. However, when a lesion becomes symptomatic, affecting quality of life or cannot be distinguished from a malignancy, then operative therapy should be considered. We herein present a case of a symptomatic 12cm × 14cm × 17cm "mega" hemangioma (>10cm) of the left hepatic lobe. This lesion was initially refractory to transarterial embolization of the left hepatic artery, but was subsequently treated successfully with a left lateral extended hepatic segmentectomy (resection). We thus advocate a rational treatment algorithm for management of hepatic "mega" hemangiomas.
Keywords: hepatic cavernous hemangioma; liver resection; transarterial embolization.
Conflict of interest statement
None of the authors identify a conflict of interest.
Figures






References
-
- Hoekstra LT, Bieze M, Erdogan D, Roelofs JJTH, Beuers UHW, van Gulik TM. Management of giant liver hemangiomas: an update. Expert Review of Gastroenterology & Hepatology. 2013;7(3):263+. - PubMed
-
- Plackett TP, Lin-Hurtubise KM. Hepatic hemangiomas and parachuting. Aviat Space Environ Med. 2008 Oct;79(10):986–988. - PubMed
Publication types
MeSH terms
LinkOut - more resources
Full Text Sources