Skip to main page content
U.S. flag

An official website of the United States government

Dot gov

The .gov means it’s official.
Federal government websites often end in .gov or .mil. Before sharing sensitive information, make sure you’re on a federal government site.

Https

The site is secure.
The https:// ensures that you are connecting to the official website and that any information you provide is encrypted and transmitted securely.

Access keys NCBI Homepage MyNCBI Homepage Main Content Main Navigation
Case Reports
. 2019 Mar 27:28:101-103.
doi: 10.1016/j.gore.2019.03.015. eCollection 2019 May.

A case of incidental endometrial adenocarcinoma diagnosed in early pregnancy and managed conservatively

Affiliations
Case Reports

A case of incidental endometrial adenocarcinoma diagnosed in early pregnancy and managed conservatively

I Rizzuto et al. Gynecol Oncol Rep. .

Abstract

We report a 29-year old nulliparous woman diagnosed with a grade 1 endometrioid adenocarcinoma of the endometrium arising from an atypical polypoid adenomyoma, while being investigated for a suspected threatened miscarriage at 7 weeks gestation. She presented complaining of vaginal bleeding and a small amount of soft tissue in the cervical os was found and sent for histology. An ultrasound scan was performed, which confirmed an intrauterine ongoing pregnancy. The patient had no further episodes of unscheduled bleeding. After the confirmed histological diagnosis an MRI scan was requested, and there were no evidence of myometrial invasion or distant metastasis. The patient was seen at each trimester, remained asymptomatic throughout the pregnancy and had a normal delivery at term. There was no evidence of any residual endometrioid adenocarcinoma in the post-delivery specimen. Six weeks post-natally an endometrial biopsy was performed, which was normal. She is still in remission over a period of 8 years follow-up. Endometrial adenocarcinoma in young pregnant women is a rare clinical circumstance. This case shows that conservative management in young women is possible including in a case of an incidental diagnosis in pregnancy.

Keywords: Endometrial cancer; Fertility sparing-surgery; Hormonal treatment.

PubMed Disclaimer

Figures

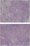
Fig. 1
Fig. 1
Atypical polypoid adenomyoma: The lesion is composed of glands showing cytological atypia and architectural complexity set within a fibromuscular stroma.
Fig. 2
Fig. 2
Endometrioid adenocarcinoma: Areas of glandular crowding and fusion. Islands of atypical epithelium are seen infiltrating around thick walled vessels.
Fig. 3
Fig. 3
MRI pelvis at 7 weeks of pregnancy after histological diagnosis.

References

    1. Colombo N., Creutzberg C., Amant F. ESMO-ESGOESTRO consensus conference on endometrial Cancer: diagnosis, treatment and follow-up. Ann. Oncol. 2016;27:16–41. - PubMed
    1. Gunderson C.C., Fader A.N., Carson K.A., Bristow R.E. Oncologic and reproductive outcomes with progestin therapy in women with endometrial hyperplasia and grade 1 adenocarcinoma: a systematic review. Gynecol. Oncol. 2012;125:477–482. - PubMed
    1. Heatley M.K. Atypical polypoid adenomyoma: a systematic review of the English literature. Histopathology. 2006;48:609–610. - PubMed
    1. La Russa M., Zapardiel I., halaska M.J., Zalewski K., Laky R., Dursun P., Lindquist D., Sukhin V., Polteraurer S., Biliatis I. Conservative management of endometrial cancer: a survey amongst European clinicians. Arch. Gynecol. Obstet. 2018;298:373–380. - PubMed
    1. Ma B., Zhu Y., Liu Y. Management of atypical polypoid adenomyoma of the uterus: a single center's experience. Medicine (Baltimore) 2018;97(12):e0135. - PMC - PubMed

Publication types

LinkOut - more resources