Bronchoesophageal Fistula due to Esophageal Tuberculosis
- PMID: 31019816
- PMCID: PMC6451813
- DOI: 10.1155/2019/6537437
Bronchoesophageal Fistula due to Esophageal Tuberculosis
Abstract
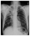
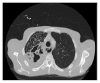
This is a case report regarding a patient who presented with 6 months of dysphagia and subsequent 40-pound weight loss. The patient underwent imaging, suggestive of pulmonary TB. Further workup of his dysphagia with esophagogastroduodenoscopy and bronchoscopy revealed two bronchoesophageal fistulas. Tuberculosis is an important differential diagnosis of prolonged dysphagia in immunocompetent patients.
Figures





References
Publication types
LinkOut - more resources
Full Text Sources