Skip to main page content
U.S. flag

An official website of the United States government

Dot gov

The .gov means it’s official.
Federal government websites often end in .gov or .mil. Before sharing sensitive information, make sure you’re on a federal government site.

Https

The site is secure.
The https:// ensures that you are connecting to the official website and that any information you provide is encrypted and transmitted securely.

Access keys NCBI Homepage MyNCBI Homepage Main Content Main Navigation
Case Reports
. 2019 Apr 25;12(4):e227720.
doi: 10.1136/bcr-2018-227720.

Pulmonary-renal syndrome: diagnostic challenge

Affiliations
Case Reports

Pulmonary-renal syndrome: diagnostic challenge

Sandra Isabel Correia et al. BMJ Case Rep. .

Abstract

Vasculitis presents several diagnostic challenges. Herein, we present a clinical case of a 71- year old woman, observed in our emergency department due to asthenia, vomiting and persistent cough. The patient had a history of progressive renal failure and anaemia over the last years. On physical examinations, fine pulmonary crackles were detected and laboratory test showed haemoglobin 69 g/L, creatinine 4 mg/dL, potassium 6.3 mmol/L, positive antineutrophil cytoplasm antibody (ANCA), with proteins and dimorphic erythrocytes in the urinary sediment. CT analysis of the thorax revealed patchy ground glass haziness, likely due to diffuse alveolar haemorrhage. Pulmonary-renal syndrome was assumed, and induction therapy was initiated. She was discharged after 33 days of hospitalisation. On the following months, ANCA titres remained undetectable, but minor recovery of renal function was observed, requiring haemodialysis. Indeed, the use of aggressive induction therapy at early stage dramatically improve prognosis, maintenance of disease remission may be difficult, as relapse is frequent.

Keywords: acute renal failure; lung function; vasculitis.

PubMed Disclaimer

Conflict of interest statement

Competing interests: None declared.

Figures

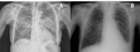
Figure 1
Figure 1
(A) Chest radiographs with diffuse bilateral infiltration; (B) Chest radiographs 15 days post-treatment, with marked improvement of the bilateral infiltrates.
Figure 2
Figure 2
(A) Thorax CT analysis with patchy ground glass haziness in a geographic distribution confirming crazy paving, suggesting of diffuse alveolar haemorrhage; (B) thorax CT analysis 1 month post-treatment, showing minor ground glass haziness.

References

    1. West SC, Arulkumaran N, Ind PW, et al. Pulmonary-renal syndrome: a life threatening but treatable condition. Postgrad Med J 2013;89:274–83. 10.1136/postgradmedj-2012-131416 - DOI - PubMed
    1. Jennette JC, Falk RJ, Bacon PA, et al. 2012 revised international chapel hill consensus conference nomenclature of vasculitides. Arthritis Rheum 2013;65:1–11. 10.1002/art.37715 - DOI - PubMed
    1. Pendergraft WF, Niles JL. Trojan horses: drug culprits associated with antineutrophil cytoplasmic autoantibody (ANCA) vasculitis. Curr Opin Rheumatol 2014;26:42–9. 10.1097/BOR.0000000000000014 - DOI - PubMed
    1. Munshi BD, Sengupta S, Sharan A, et al. Anti-Neutrophil Cytoplasmic Antibody (ANCA)-Negative Small Vessel Vasculitis: A Rare Cause of Pulmonary Renal Syndrome. Intern Med 2015;54:2759–63. 10.2169/internalmedicine.54.4240 - DOI - PubMed
    1. Sanders JS, Rutgers A, Stegeman CA, et al. Pulmonary: renal syndrome with a focus on anti-GBM disease. Semin Respir Crit Care Med 2011;32:328–34. 10.1055/s-0031-1279829 - DOI - PubMed

Publication types

Supplementary concepts