Cast syndrome
- PMID: 31049210
- PMCID: PMC6487991
- DOI: 10.1093/omcr/omz025
Cast syndrome
Abstract
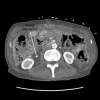
Cast syndrome, commonly known as superior mesenteric artery (SMA) syndrome is a rare cause of small bowel obstruction caused by compression of third part of duodenum from narrowing of the angle between superior mesenteric artery and abdominal aorta resulting in symptoms of duodenal outflow obstruction. A 46-year-old male presented with acute worsening of chronic abdominal pain, nausea and vomiting aggravated with eating. Computed tomography of abdomen and pelvis revealed the dilatation of gastric and proximal duodenum due to compression of third part of duodenum between superior mesenteric artery and aorta. Conservative management with total parental nutrition failed and patient underwent gastrojejunostomy with relief of his symptoms. Cast syndrome is a rare condition but should be kept in mind in patients with abdominal pain, vomiting, early satiety and weight loss. CT abdomen usually reveals the diagnosis but upper GI endoscopy helps to rule out other causes of duodenal obstruction and gastric dilatation.
Figures




References
-
- Shiu JR, Chao HC, Luo CC, Lai MW, Kong MS, Chen SY, et al. . Clinical and nutritional outcomes in children with idiopathic superior mesenteric artery syndrome. J Pediatr Gastroenterol Nutr 2010;51:177–82. - PubMed
-
- Hines JR, Gore RM, Ballantyne GH. Superior mesenteric artery syndrome. Diagnostic criteria and therapeutic approaches. Am J Surg 1984;148:630–2. - PubMed
Publication types
LinkOut - more resources
Full Text Sources
Miscellaneous