High-grade neuroepithelial tumor with BCOR exon 15 internal tandem duplication-a comprehensive clinical, radiographic, pathologic, and genomic analysis
- PMID: 31104347
- PMCID: PMC6859193
- DOI: 10.1111/bpa.12747
High-grade neuroepithelial tumor with BCOR exon 15 internal tandem duplication-a comprehensive clinical, radiographic, pathologic, and genomic analysis
Abstract
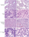
High-grade neuroepithelial tumor with BCOR exon 15 internal tandem duplication (HGNET BCOR ex15 ITD) is a recently proposed tumor entity of the central nervous system (CNS) with a distinct methylation profile and characteristic genetic alteration. The complete spectrum of histologic features, accompanying genetic alterations, clinical outcomes, and optimal treatment for this new tumor entity are largely unknown. Here, we performed a comprehensive assessment of 10 new cases of HGNET BCOR ex15 ITD. The tumors mostly occurred in young children and were located in the cerebral or cerebellar hemispheres. On imaging all tumors were large, well-circumscribed, heterogeneous masses with variable enhancement and reduced diffusion. They were histologically characterized by predominantly solid growth, glioma-like fibrillarity, perivascular pseudorosettes, and palisading necrosis, but absence of microvascular proliferation. They demonstrated sparse to absent GFAP expression, no synaptophysin expression, variable OLIG2 and NeuN positivity, and diffuse strong BCOR nuclear positivity. While BCOR exon 15 internal tandem duplication was the solitary pathogenic alteration identified in six cases, four cases contained additional alterations including CDKN2A/B homozygous deletion, TERT amplification or promoter hotspot mutation, and damaging mutations in TP53, BCORL1, EP300, SMARCA2 and STAG2. While the limited clinical follow-up in prior reports had indicated a uniformly dismal prognosis for this tumor entity, this cohort includes multiple long-term survivors. Our study further supports inclusion of HGNET BCOR ex15 ITD as a distinct CNS tumor entity and expands the known clinicopathologic, radiographic, and genetic features.
Keywords: BCOR exon 15 internal tandem duplication; HGNET; brain tumor; high-grade neuroepithelial tumor; molecular neuro-oncology; molecular neuropathology.
© 2019 International Society of Neuropathology.
Conflict of interest statement
None of the authors have any conflicts of interest to disclose.
Figures










References
-
- Appay R, Macagno N, Padovani L, Korshunov A, Kool M, Andre N et al (2017) HGNET‐BCOR tumors of the cerebellum: clinicopathologic and molecular characterization of 3 cases. Am J Surg Pathol 41:1254–1260. - PubMed
-
- Damm F, Chesnais V, Nagata Y, Yoshida K, Scourzic L, Okuno Y et al (2013) BCOR and BCORL1 mutations in myelodysplastic syndromes and related disorders. Blood 122:3169–3177. - PubMed
Publication types
MeSH terms
Substances
Grants and funding
LinkOut - more resources
Full Text Sources
Research Materials
Miscellaneous