Intraparenchymal extravasation of gadolinium mimicking an enhancing brain tumor
- PMID: 31124756
- PMCID: PMC6639639
- DOI: 10.1177/1971400919853789
Intraparenchymal extravasation of gadolinium mimicking an enhancing brain tumor
Abstract
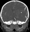
Gadolinium (Gd)-enhanced magnetic resonance imaging plays an essential role in the detection, characterization, and staging of intracranial neoplasms and vascular abnormalities. Although Gd is helpful in a majority of situations, it can lead to diagnostic misinterpretation in the setting of active vascular extravasation. Scarce reports of intracranial extravasation of Gd are present in the literature. Here, we report the first case of surgically proven spontaneous intraparenchymal extravasation of Gd mimicking an enhancing intra-axial neoplasm in a pediatric patient. Early and accurate recognition of Gd extravasation is critical in obtaining the accurate diagnosis and triaging patients expeditiously into proper avenues of care.
Keywords: Gadolinium; cavernous malformation; extravasation; hemorrhage; pediatrics.
Figures
References
-
- Taydas O, Ogul H, Ozcan H, et al. Gadolinium-based contrast agent extravasation mimicking subarachnoid hemorrhage after electroconvulsive therapy. World Neurosurg 2018; 114: 130–133. - PubMed
-
- Mural Y, Ikeda Y, Teramoto A, et al. Magnetic resonance imaging-documented extravasation as an indicator of acute hypertensive intracerebral hemorrhage. J Neurosurg 1998; 88: 650–655. - PubMed
-
- Schindlbeck KA, Santaella A, Galinovic I, et al. Spot sign in acute intracerebral hemorrhage in dynamic T1-weighted magnetic resonance imaging. Stroke 2016; 2: 417–423. - PubMed
-
- Gross BA, Du R, Orbach DB, et al. The natural history of cerebral cavernous malformations in children. J Neurosurg Pediatr 2016; 17: 123–128. - PubMed
Publication types
MeSH terms
Substances
LinkOut - more resources
Full Text Sources
Medical
