Successful radiotherapy for endometrial serous carcinoma with local repeated recurrence
- PMID: 31149518
- PMCID: PMC6498359
- DOI: 10.1007/s13691-018-0323-4
Successful radiotherapy for endometrial serous carcinoma with local repeated recurrence
Abstract
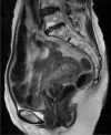
The incidence of endometrial serous carcinoma (ESC) has been increasing, and ESC is resistant to treatment. We report a patient with ESC who responded to radiotherapy for multiple recurrences. The first recurrence was detected in the vaginal wall and left internal iliac lymph node 5 months after the initial treatment. Concurrent chemoradiotherapy (CCRT) was administered. Radiation was delivered using the intensity modulated radiation therapy technique. The second recurrent tumor was detected in the right internal iliac lymph node after 4 months, and CCRT was conducted. After 4 months, the third recurrence was detected in the right common iliac node, and CCRT was performed. After 8 months, the fourth recurrence was detected in the horizontal portion of the duodenum, and radiotherapy was administered. After 9 months, the fifth recurrence was detected in the vaginal wall. Interstitial brachytherapy was conducted. Grade 2 gastrointestinal injury, nausea and radiodermatitis were observed. During the subsequent 13-month follow-up, there has been no recurrence. Although ESC is resistant to treatment, radiotherapy could be effective in some cases. Even when multiple recurrences occur, radiotherapy may be considered a treatment option if the irradiation level is permissible.
Keywords: Complete remission; Endometrial serous carcinoma; Intensity modulated radiation therapy; Multiple recurrence.
Figures





References
-
- JSOG Annual report of endometrial cancer, 2008. Acta Obstet Gynaecol Jpn. 2010;62:853–876.
-
- Menderes G, Clark M, Santin AD. Novel targeted therapies in uterine serous carcinoma, an aggressive variant of endometrial cancer. Discov Med. 2016;116:293–303. - PubMed
Publication types
LinkOut - more resources
Full Text Sources