Skip to main page content
U.S. flag

An official website of the United States government

Dot gov

The .gov means it’s official.
Federal government websites often end in .gov or .mil. Before sharing sensitive information, make sure you’re on a federal government site.

Https

The site is secure.
The https:// ensures that you are connecting to the official website and that any information you provide is encrypted and transmitted securely.

Access keys NCBI Homepage MyNCBI Homepage Main Content Main Navigation
Case Reports
. 2019 Jun 8;5(6):504-507.
doi: 10.1016/j.jdcr.2019.03.011. eCollection 2019 Jun.

Prurigo pigmentosa following ketogenic diet and bariatric surgery: A growing association

Affiliations
Case Reports

Prurigo pigmentosa following ketogenic diet and bariatric surgery: A growing association

Mohammed A Alshaya et al. JAAD Case Rep. .
No abstract available

Keywords: PP, prurigo pigmentosa; Prurigo pigmentosa; keto(genic) diet; ketosis.

PubMed Disclaimer

Figures

Fig 1
Fig 1
PP: clinical presentation of patient 1. Reticulated erythematous papules and plaques on the chest.
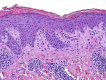
Fig 2
Fig 2
PP: histopathologic examination of skin lesions of patient 1. Parakeratosis, acanthosis, few dyskeratotic cells, mild vacuolar change at the dermoepidermal junction, and superficial perivascular lymphocytic infiltrate.
Fig 3
Fig 3
PP: clinical presentation of patient 2. Erythematous papules and plaques on the neck.
Fig 4
Fig 4
PP: clinical presentation of patient 3. Blanching erythematous papules involving the intermammary area.
Fig 5
Fig 5
PP: clinical presentation of patient 4. Scattered erythematous papules on a background of hyperpigmented reticulated patches on the chest.
Fig 6
Fig 6
PP: recurrence of PP after resuming ketogenic diet in patient 2. Few erythematous plaques with scattered red papules on the side of the neck and upper chest. These lesions have recurred after resuming ketogenic diet after a period of clearance from the previous eruption.

References

    1. Nagashima M. A peculiar pruriginous dermatosis with gross reticular pigmentation. Jpn J Dermatol. 1971;81:38–39. - PubMed
    1. Boer A., Misago N., Wolter M., Kiryu H., Wang X.D., Ackerman A.B. Prurigo pigmentosa: a distinctive inflammatory disease of the skin. Am J Dermatopathol. 2003;25(2):117–129. - PubMed
    1. Oh Y.J., Lee M.H. Prurigo pigmentosa: a clinicopathologic study of 16 cases. J Eur Acad Dermatol Venereol. 2012;26(9):1149–1153. - PubMed
    1. Beutler B.D., Cohen P.R., Lee R.A. Prurigo pigmentosa: literature review. Am J Clin Dermatol. 2015;16(6):533–543. - PubMed
    1. Hanami Y., Yamamoto T. Bullous prurigo pigmentosa in a pregnant woman with hyperemesis gravidarum. J Dermatol. 2015;42(4):436–437. - PubMed

Publication types

LinkOut - more resources