Malignant Transformation of a Rosette-Forming Glioneuronal Tumor with IDH1 Mutation: A Case Report and Literature Review
- PMID: 31218281
- PMCID: PMC6580885
- DOI: 10.1016/j.wnsx.2018.100006
Malignant Transformation of a Rosette-Forming Glioneuronal Tumor with IDH1 Mutation: A Case Report and Literature Review
Abstract
Background: Rosette-forming glioneuronal tumor (World Health Organization grade I) is considered as a benign tumor with very low potential for progression. The potential for malignant transformation of this tumor is not known and has never been reported before in literature.
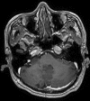
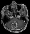
Case description: We report a 42-year-old man, diagnosed with rosette-forming glioneuronal tumor of the fourth ventricle with a positive isocitrate dehydrogenase 1 mutation, progressed to glioblastoma after 6 years from diagnosis. We discuss the clinical history, radiological findings, and histopathological characteristic with immunohistochemistry findings observed in this unique case.
Conclusions: Despite being acceptable as benign, based on our observations in this case, there is a potential for malignant transformation of rosette-forming glioneuronal tumor. The role of isocitrate dehydrogenase 1 mutation leading to malignant transformation could not be established as our finding is novel and further prospective studies are required to prove this association.
Keywords: Glioblastoma IDH mutant; IDH 1 mutation; IDH 1, Isocitrate dehydrogenase 1; MRI, Magnetic resonance imaging; Malignant transformation; RGNT; RGNT, Rosette-forming glioneuronal tumor; WHO, World Health Organization.
Figures
 
              
              
              
              
                
                
                 
              
              
              
              
                
                
                 
              
              
              
              
                
                
                 
              
              
              
              
                
                
                 
              
              
              
              
                
                
                 
              
              
              
              
                
                
                 
              
              
              
              
                
                
                References
- 
    - Louis D.N., Perry A., Reifenberger G. The 2016 World Health Organization classification of tumors of the central nervous system: a summary. Acta Neuropathol. 2016;131:803–820. - PubMed
 
- 
    - Schlamann A., O von Bueren A., Hagel C. An individual patient data meta-analysis on characteristics and outcome of patients with papillary glioneuronal tumor, rosette glioneuronal tumor with neuropil-like islands and rosette forming glioneuronal tumor of the fourth ventricle. PLoS One. 2014;9:e101211. - PMC - PubMed
 
- 
    - Allinson K.S., O'Donovan D.G., Jena R., Cross J.J., Santarius T.S. Rosette-forming glioneuronal tumor with dissemination throughout the ventricular system: a case report. Clin Neuropathol. 2015;34:64–69. - PubMed
 
- 
    - Wang Y., Xiong J., Chu S.G. Rosette-forming glioneuronal tumor: report of an unusual case with intraventricular dissemination. Acta Neuropathol. 2009;118:813–819. - PubMed
 
Publication types
LinkOut - more resources
- Full Text Sources
- Miscellaneous
 
        