Primary prostate lymphoma: A case report and literature review
- PMID: 31280618
- PMCID: PMC6614933
- DOI: 10.1177/2058738419863217
Primary prostate lymphoma: A case report and literature review
Abstract
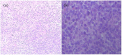
Primary prostate lymphoma (PPL) is rare. This article reports a case of PPL by retrospective analysis of the clinical data and review of the literature, in an attempt to explore the diagnosis, treatment, and prognosis of this rare disease. The present case involves a male patient who came to our hospital for medical consultation of dysuria. Serum prostate-specific antigen (PSA) was not remarkable. Pelvic computed tomography (CT) scan suggested obvious enlargement of the prostate and a tumor in the prostate, but the tumor was not significantly enhanced on contrast-enhanced CT scan. Ultrasound suggested obvious enlargement of the prostate with multiple local low-density echoes and rich blood flow signals inside. Histopathology of prostate biopsy suggested prostate diffuse large B-cell lymphoma (DLBCL). The patient refused chemotherapy but agreed to receive radiotherapy. After radiotherapy, the tumor became smaller and the International Prostate Symptom Score (IPSS) score was reduced. Our experience, together with literature review, suggests that prostate puncture biopsy is an important method for the diagnosis of PPL, and imaging examination can assist the diagnosis. Radiotherapy is able to reduce the tumor volume and relieve the symptoms of urinary tract obstruction, and chemotherapy can help achieve a better therapeutic outcome.
Keywords: diagnosis; lymphoma; prognosis; prostate; treatment.
Conflict of interest statement
Figures
References
-
- Sarris A, Dimopoulos M, Pugh W, et al. (1995) Primary lymphoma of the prostate: Good outcome with doxorubicin-based combination chemotherapy. The Journal of Urology 153: 1852–1854. - PubMed
-
- Bostwick DG, Iczkowski KA, Amin MB, et al. (1998) Malignant lymphoma involving the prostate: Report of 62 cases. Cancer 83(4): 732–738. - PubMed
-
- Alvarez CA, Rodriguez BI, Perez LA. (2006) Primary diffuse large B-cell lymphoma of the prostate in a young patient. International Brazilian Journal of Urology 32(1): 64–65. - PubMed
-
- Antunes AA, Dall’Oglio M, Srougi M. (2004) Primary lymphoma of the prostate: A rare cause of urinary obstruction. International Brazilian Journal of Urology 30(5): 410–412. - PubMed
Publication types
MeSH terms
Substances
LinkOut - more resources
Full Text Sources
Medical
Research Materials
Miscellaneous
