Long-term Follow-up of Severe Eosinophilic Hepatitis: A Rare Presentation of Hypereosinophilic Syndrome
- PMID: 31335311
- PMCID: PMC6649775
- DOI: 10.5041/RMMJ.10373
Long-term Follow-up of Severe Eosinophilic Hepatitis: A Rare Presentation of Hypereosinophilic Syndrome
Abstract
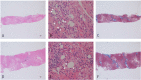
Idiopathic hypereosinophilic syndrome (HES) is a rare, heterogeneous disorder characterized by a strikingly high eosinophil count (>1,500 cells/μL), over a long period of time (>6 months), with end organ damage. We present a 60-year-old patient with idiopathic HES with isolated liver involvement, a rare systemic disease and a rare solid organ involvement. The patient had a thorough investigational work up until HES was established, including liver biopsy. He needed intensive immunosuppressive treatment at first with steroids, then with azathioprine in conjunction with a low dose of steroids. After 16 years of follow-up, the patient showed no evidence of liver dysfunction. To the best of our knowledge, this is the longest follow-up for a patient with HES-associated chronic hepatitis. Our observation suggests that, with appropriate treatment, liver involvement in HES may be well controlled without deterioration to advanced liver failure.
Conflict of interest statement
Figures


References
LinkOut - more resources
Full Text Sources