Vesicular Stomatitis Virus-Based Vaccines Provide Cross-Protection against Andes and Sin Nombre Viruses
- PMID: 31337019
- PMCID: PMC6669828
- DOI: 10.3390/v11070645
Vesicular Stomatitis Virus-Based Vaccines Provide Cross-Protection against Andes and Sin Nombre Viruses
Abstract
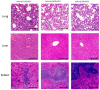
Andes virus (ANDV) and Sin Nombre virus (SNV) are the main causative agents responsible for hantavirus cardiopulmonary syndrome (HCPS) in the Americas. HCPS is a severe respiratory disease with a high fatality rate for which there are no approved therapeutics or vaccines available. Some vaccine approaches for HCPS have been tested in preclinical models, but none have been tested in infectious models in regard to their ability to protect against multiple species of HCPS-causing viruses. Here, we utilize recombinant vesicular stomatitis virus-based (VSV) vaccines for Andes virus (ANDV) and Sin Nombre virus (SNV) and assess their ability to provide cross-protection in infectious challenge models. We show that, while both rVSVΔG/ANDVGPC and rVSVΔG/SNVGPC display attenuated growth as compared to wild type VSV, each vaccine is able to induce a cross-reactive antibody response. Both vaccines protected against both homologous and heterologous challenge with ANDV and SNV and prevented HCPS in a lethal ANDV challenge model. This study provides evidence that the development of a single vaccine against HCPS-causing hantaviruses could provide protection against multiple agents.
Keywords: Andes virus; Hantavirus; Sin Nombre virus; hantavirus cardiopulmonary syndrome; prophylactic immunization; vaccination; vaccine.
Conflict of interest statement
K.C. is a member of the Scientific Advisory Board of Integrum Scientific, LLC.
Figures






References
-
- Martinez-Valdebenito C., Calvo M., Vial C., Mansilla R., Marco C., Palma R.E., Vial P.A., Valdivieso F., Mertz G., Ferres M. Person-to-Person Household and Nosocomial Transmission of Andes Hantavirus, Southern Chile, 2011. Emerg. Infect. Dis. 2014;20:1629–1636. doi: 10.3201/eid2010.140353. - DOI - PMC - PubMed
Publication types
MeSH terms
Substances
Grants and funding
LinkOut - more resources
Full Text Sources