Effects of insulin and metformin on fetal kidney development of streptozotocin-induced gestational diabetic albino rats
- PMID: 31338233
- PMCID: PMC6624335
- DOI: 10.5115/acb.2019.52.2.161
Effects of insulin and metformin on fetal kidney development of streptozotocin-induced gestational diabetic albino rats
Abstract
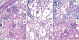
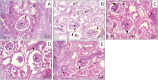
Gestational diabetes mellitus is one of common medical complications of pregnancy. Hyperglycemia in utero impairs renal development and produces renal anomalies. Metformin has antioxidant properties and better glycemic control. Aim: assessment insulin and metformin effects on renal development of streptozotocin-induced gestational diabetic albino rats. Sixty virgin female albino rats were used. Once pregnancy confirmed, animals were randomly assigned into control, metformin, diabetic, diabetic plus insulin, diabetic plus metformin and diabetic plus insulin and metformin treated groups. Rats were sacrificed on the 20th day of gestation; fetuses were extracted and weighted. Fetal kidneys were extracted prepared for light, morphometric and electron microscopic examination. Diabetic followed by diabetic plus metformin treated groups revealed retardation of glomerular development in the cortical and Juxtaglomerular zones with a significant increase in the early immature glomerular stages and immature to mature glomerular ratio compared to other groups. Diabetic group also showed morphometric changes, shrunken and empty glomeruli, vacuolar degeneration and hemorrhage. Diabetic plus metformin group showed minimal improvement while diabetic plus insulin and diabetic plus insulin and metformin groups showed developmental, histopathological and morphometric improvement with best results in the combination group. Gestational diabetes mellitus (GDM) possess deleterious effects on fetal kidney development. Insulin improves the glycemic state and decreases GDM effects on fetal kidneys. Metformin produces mild protection while the combination of insulin and metformin produces the best glycemic control and protect fetal kidneys.
Keywords: Albino rat; Gestational diabetes mellitus; Insulin; Kidney development; Metformin.
Figures







References
-
- World Health Organization. Definition, diagnosis and classification of diabetes mellitus and its complications: report of a WHO consultation. Part 1. Diagnosis and classification of diabetes mellitus. Geneva: World Health Organization; 1999.
-
- Winocour PH. Diabetes and chronic kidney disease: an increasingly common multi-morbid disease in need of a paradigm shift in care. Diabet Med. 2018;35:300–305. - PubMed
LinkOut - more resources
Full Text Sources