Pathology of A(H5N8) (Clade 2.3.4.4) Virus in Experimentally Infected Chickens and Mice
- PMID: 31354812
- PMCID: PMC6637675
- DOI: 10.1155/2019/4124865
Pathology of A(H5N8) (Clade 2.3.4.4) Virus in Experimentally Infected Chickens and Mice
Abstract
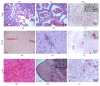
The emergence of novel highly pathogenic avian influenza viruses (HPAIVs) in migratory birds raises serious concerns as these viruses have the potential to spread during fall migration. We report the identification of novel HPAIV A(H5N8) clade 2.3.4.4 virus that was isolated from sick domestic duck at commercial farm during the second wave of spread that began in October and affected poultry (ducks; chiсkens) in several European regions of Russia and Western Siberia in 2016. The strain was highly lethal in experimental infection of chickens and mice with IVPI = 2.34 and MLD50 = 1.3log10 EID50, accordingly. Inoculation of chickens with the HPAIV A/H5N8 demonstrated neuroinvasiveness, multiorgan failure, and death of chickens on the 3rd day post inoculation. Virus replicated in all collected organ samples in high viral titers with the highest titer in the brain (6.75±0.1 log10TCID50/ml). Effective virus replication was found in the following cells: neurons and glial cells of a brain; alveolar cells and macrophages of lungs; epithelial cells of a small intestine; hepatocytes and Kupffer cells of a liver; macrophages and endothelial cells of a spleen; and the tubular epithelial cells of kidneys. These findings advance our understanding of histopathological effect of A(H5N8) HPAIV infection.
Figures



References
-
- Wan X. F. Isolation and Characterization of Avian Influenza Viruses in China. Guangzhou, China: College of Veterinary Medicine, South China Agricultural University; 1998.
LinkOut - more resources
Full Text Sources
Miscellaneous