"Sigmoid diverticulitis mimicking cholecystitis" a clinical challenge
- PMID: 31359166
- PMCID: PMC6638605
- DOI: 10.1186/s13089-019-0127-6
"Sigmoid diverticulitis mimicking cholecystitis" a clinical challenge
Abstract
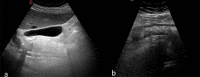
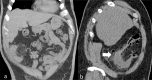
Diverticular disease is a common disorder and its incidence increases with ageing. Pathophysiology is multifactorial. Lifestyle, including smoking, alcohol intake, decreased dietary fibres and lack of physical activity, plays a predominant role. Genetics seems also to contribute specifically for right-sided diverticular disease (RSD). The majority of the patients with diverticular disease are asymptomatic. Diverticulitis is the inflammation of the diverticula usually presenting with abdominal pain associated to nausea, vomiting, rectal bleeding, diarrhoea and fever. When the inflammation process affects the diverticula in the ascending colon, the condition represents a clinical challenge as it can be easily misdiagnosed with other acute abdominal emergencies. We reported a case of a 70-year-old female who presented to our Emergency Department (ED) with right upper quadrant pain and an initial clinical suspicion of cholecystitis. Ultrasound (US) and Computed Tomography (CT) demonstrated an anatomical variation of the sigmoid colon diverticulitis. This clinical report demonstrates that ultrasound plays a relevant part as first-step approach to the acute abdominal conditions and its accuracy increases together with other diagnostic tools such as Computer Tomography.
Keywords: Colon embryologic abnormalities; Computed Tomography; Diverticulitis; Ultrasound.
Conflict of interest statement
The authors declare that they have no competing interests.
Figures
 
              
              
              
              
                
                
                 
              
              
              
              
                
                
                References
LinkOut - more resources
- Full Text Sources
