Skip to main page content
U.S. flag

An official website of the United States government

Dot gov

The .gov means it’s official.
Federal government websites often end in .gov or .mil. Before sharing sensitive information, make sure you’re on a federal government site.

Https

The site is secure.
The https:// ensures that you are connecting to the official website and that any information you provide is encrypted and transmitted securely.

Access keys NCBI Homepage MyNCBI Homepage Main Content Main Navigation
. 2019 Jun 30;7(12):1905-1910.
doi: 10.3889/oamjms.2019.548.

The Expression of Transforming Growth Factor Beta-1 and Interleukin-6 on Human Prostate: Prostate Hyperplasia and Prostate Cancer

Affiliations

The Expression of Transforming Growth Factor Beta-1 and Interleukin-6 on Human Prostate: Prostate Hyperplasia and Prostate Cancer

Afdal Afdal et al. Open Access Maced J Med Sci. .

Abstract

Background: Prostate hyperplasia and prostate cancer are two of the most common pathological condition of the prostate to be found on male. Both of these diseases share common pathogenesis involving inflammation of prostatic tissues. Chronic inflammation will induce the release of cytokines, followed by cells injury and tissues damage. One of the cytokines that play a role in prostate pathology is IL-6. The inflammation will also induce the releases of anti-inflammatory cytokines such as TGFβ-1.

Aim: This study aims to analyse the expression of IL-6 and TGFβ-1, in prostate hyperplasia and prostate cancer.

Material and methods: This is an observational study, using paraffin-embedded tissue samples of prostate hyperplasia and prostate cancer. Samples were obtained from the laboratory of Pathological Anatomy, Faculty of Medicine, Andalas University, Padang, Indonesia. Immunohistochemistry was performed to detect the cytokine expression, and a semiqunatitaves measurement according to Immunoreactive score (IRS) was performed for evaluation. For the TGFβ-1, the stromal expression was also analysed by measurement of the stromal stained area. The correlation of cytokine expression to Gleason index score was also analysed in prostate cancer.

Results: The result showed that this study found that TGFβ-1 was detected both in the stromal component as well as epithelial. With the stromal being the dominant site of expression. The stromal TGFβ-1 expression was of significantly higher in prostate hyperplasia compares to prostate cancer (p < 0.05), while the epithelial expression of TGFβ-1 was not found to be significantly different. IL-6 was mostly expressed intracytoplasmic in epithelia. The IL-6 expression was significantly higher in prostate cancer compared to hyperplasia. However, there was no significant correlation to found between IL-6 expression to the Gleason Score among prostate cancers.

Conclusion: This study concluded that there were differences in expression of both TGFβ-1 and IL-6 between prostate hyperplasia and prostate cancer tissue by immunohistochemistry.

Keywords: Gleason Index; IL-6; Prostate Cancer; Prostate Hyperplasia; TGFβ-1.

PubMed Disclaimer

Figures

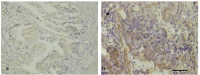
Figure 1
Figure 1
The Expression of TGFβ-1 by Immunohistochemistry on Human Prostate Tissue. Prostate Hyperplasia (A) and Prostate Cancer (B). TGFβ-1 are mostly Expressed on Stromal Component Prostate Hyperplasia (A); The Stromal Staining is Greatly Reduced in Prostate Cancer, However Cancer Epithelial can Show TGFβ-1 Staining in Some Cases (B) Immunoperoxidase of Rabbit Anti Human TGFβ-1. Scale Bar 100 µm
Figure 2
Figure 2
The Expression of TGFβ-1 by Immunohistochemistry on Human Prostate Tissue. Prostate Hyperplasia (A) and Prostate Cancer (B); The Stomal Area is Measured by Image J Software by Isolate the Brown Stained Area and Measuring the Proportion of Stained Area. There is a Higher Proportion of Stained Area in Prostate Hyperplasia (B) Compared to Prostate Cancer (D). Immunoperoxidase of Rabbit Anti Human TGFβ-1. Scale Bar 100 µm
Figure 3
Figure 3
The Expression of IL-6 by Immunohistochemistry on Human Prostate Tissue. Prostate Hyperplasia (A) and Prostate Cancer (B). IL-6 is Expressed on Low Intensity on Prostate Hyperplasia (A). The Expression is Higher in Prostate Cancer Cells (B) Immunoperoxidase of Rabbit Anty Human IL-6. Scale Bar; 100µm

References

    1. Abedelmalek S, Wong DP, Chtourou H, Souissi N, Tabka Z. Racial Variation of Interleukin-6 in Soccer Players:The Effect of Short-Term Maximal Exercise. International Journal of Medicine and Pharmaceutical Sciences (IJMPS) 2014;4(1):37–48. https://doi.org/10.1080/09291016.2014.904574.
    1. Elkahwaji JE. The role of inflammatory mediators in the development of prostatic hyperplasia and prostate cancer. Res Rep Urol. 2012;5:1–10. https://doi.org/10.2147/RRU.S23386 PMid:24400229 PMCid:PMC3826944. - PMC - PubMed
    1. De Nunzio C, Kramer G, Marberger M, Montironi R, Nelson W, Schröder F, et al. The controversial relationship between benign prostatic hyperplasia and prostate cancer:The role of inflammation. Eur Urol. 2011;60(1):106–17. https://doi.org/10.1016/j.eururo.2011.03.055 PMid:21497433. - PubMed
    1. Gandaglia G, Briganti A, Gontero P, Mondaini N, Novara G, Salonia A, Sciarra A, Montorsi F. The role of chronic prostatic inflammation in the pathogenesis and progression of benign prostatic hyperplasia (BPH) BJU international. 2013;112(4):432–41. https://doi.org/10.1111/bju.12118 PMid:23650937. - PubMed
    1. Bardan R, Dumache R, Dema A, Cumpanas A, Bucuras V. The role of prostatic inflammation biomarkers in the diagnosis of prostate diseases. Clinical biochemistry. 2014;47(10-11):909–15. https://doi.org/10.1016/j.clinbiochem.2014.02.008 PMid:24560954. - PubMed

LinkOut - more resources