Skip to main page content
U.S. flag

An official website of the United States government

Dot gov

The .gov means it’s official.
Federal government websites often end in .gov or .mil. Before sharing sensitive information, make sure you’re on a federal government site.

Https

The site is secure.
The https:// ensures that you are connecting to the official website and that any information you provide is encrypted and transmitted securely.

Access keys NCBI Homepage MyNCBI Homepage Main Content Main Navigation
Case Reports
. 2019 Jun 10;11(6):e4866.
doi: 10.7759/cureus.4866.

Surgical Duodenotomy Following Untreated Bouveret Syndrome

Affiliations
Case Reports

Surgical Duodenotomy Following Untreated Bouveret Syndrome

Adel Hanandeh et al. Cureus. .

Abstract

Bouveret syndrome is caused by the impaction of a gallstone into the duodenum through a cholecystoduodenal fistula. This is typically followed by pyloric obstruction via retrograde migration of the stone, as opposed to anterograde migration, which can result in gallstone ileus. Bouveret syndrome usually presents with nausea, vomiting, and abdominal pain. Pneumobilia is seen on radiographic imaging. Herein, we describe a case of Bouveret syndrome where the diagnosis and treatment were delayed due to the initial patient desire for surgical intervention. Ultimately, duodenotomy was performed after several failed attempts of endoscopic stone extraction.

Keywords: bouveret syndrome; duodenotomy.

PubMed Disclaimer

Conflict of interest statement

The authors have declared that no competing interests exist.

Figures

Figure 1
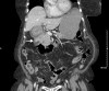
Figure 1. Initial CT scan illustrating the gallstone within the gallbladder (white arrow)
Figure 2
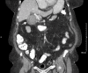
Figure 2. Computed tomography scan obtained one year after initial presentation showing extensive duodenal inflammation (white arrow).
Figure 3
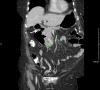
Figure 3. Follow-up computed tomography scan three years after initial presentation showing complete erosion of the stone into the duodenum with gastric distention (white arrow indicating the fistula and green arrow indicating the stone)
Figure 4
Figure 4. Stone retrieved via surgical duodenotomy

References

    1. Gastric outlet obstruction secondary to biliary calculi: 2 cases of Bouveret syndrome. O'Neill C, Colquhoun P, Schlachta CM, Etemad-Rezai R, Jayaraman S. http://www.ncbi.nlm.nih.gov/pmc/articles/PMC2637630/ Can J Surg. 2009;52:0. - PMC - PubMed
    1. Bouveret syndrome associated with acute gangrenous cholecystitis. Iancu C, Bodea R, Al Hajjar N, Todea-Iancu D, Bălă O, Acalovschi I. https://www.researchgate.net/profile/Dana_Bartos/publication/286417410_B.... J Gastrointestin Liver Dis. 2008;17:87–90. - PubMed
    1. Bouveret syndrome. Brennan GB, Rosenberg RD, Arora S. Radiographics. 2004;24:1171–1175. - PubMed
    1. A rare complication of a common disease: Bouveret syndrome, a case report. Masannat YA, Caplin S, Brown T. World J Gastroenterol. 2006;12:2620–2621. - PMC - PubMed
    1. Characterization of Bouveret’s syndrome: a comprehensive review of 128 cases. Cappell MS, Davis M. http://journals.lww.com/ajg/Abstract/2006/09000/Characterization_of_Bouv.... Am J Gastroenterol. 2006;101:2139–2146. - PubMed

Publication types

LinkOut - more resources