Open reduction of a total talar dislocation: A case report and review of the literature
- PMID: 31417931
- PMCID: PMC6692273
- DOI: 10.12998/wjcc.v7.i14.1850
Open reduction of a total talar dislocation: A case report and review of the literature
Abstract
Background: Total talar dislocation (TTD) is very uncommon for many orthopedic surgeons and emergency/trauma specialists. Scarce cases of TTD have been reported, mainly in the form of open fracture-dislocation injury.
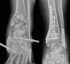
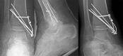
Case summary: We report a very rare injury of closed TTD with a follow-up period of 36 mo. Initial closed reduction was not successful because of a fractured highly unstable medial malleolus displaced into the ankle mortise, blocking the relocation of the talus. The patient was able to walk pain-free after the 3rd month of surgery. At the 36-mo follow-up, there were 10 degrees of flexion loss and 10 degrees of extension loss in the tibiotalar joint. Furthermore, 5 degrees of subtalar joint inversion-eversion loss was present.
Conclusion: Open reduction should be performed for closed TTDs unless closed reduction is successful.
Keywords: Case report; Pan-talar dislocation; Talus; Total talar dislocation.
Conflict of interest statement
Conflict-of-interest statement: The authors have no conflicts of interest to declare.
Figures






References
-
- Hiraizumi Y, Hara T, Takahashi M, Mayehiyo S. Open total dislocation of the talus with extrusion (missing talus): report of two cases. Foot Ankle. 1992;13:473–477. - PubMed
-
- El Ibrahimi A, Shimi M, Elidrissi M, Daoudi A, Elmrini A. A case of closed total dislocation of talus and literature review. Am J Emerg Med. 2011;29:475.e1–475.e3. - PubMed
-
- Detenbeck LC, Kelly PJ. Total dislocation of the talus. J Bone Joint Surg Am. 1969;51:283–288. - PubMed
-
- Jaffe KA, Conlan TK, Sardis L, Meyer RD. Traumatic talectomy without fracture: four case reports and review of the literature. Foot Ankle Int. 1995;16:583–587. - PubMed
-
- Kleiger B. Injuries of the talus and its joints. Clin Orthop Relat Res. 1976:243–262. - PubMed
Publication types
LinkOut - more resources
Full Text Sources
Research Materials
Miscellaneous