Case Report: Early Doxycycline Therapy for Potential Rickettsiosis in Critically Ill Patients in Flea-Borne Typhus-Endemic Areas
- PMID: 31436155
- PMCID: PMC6779210
- DOI: 10.4269/ajtmh.19-0118
Case Report: Early Doxycycline Therapy for Potential Rickettsiosis in Critically Ill Patients in Flea-Borne Typhus-Endemic Areas
Abstract
Flea-borne typhus (FBT), although usually perceived as a self-resolving febrile illness, actually encompasses a wide spectrum of disease severity, including fulminant sepsis with multi-organ failure. In endemic Texas and California, the incidence of FBT has more than doubled over the last decade. Clinicians remain unfamiliar with severe septic presentations of FBT when considering the etiologies of acute undifferentiated febrile syndromes. The diagnostic challenges of FBT include the nonspecific and variable nature of both history and physical examination and the lack of diagnostic testing that can provide clinically relevant information early in the course of infection. These barriers perpetuate misdiagnoses in critically ill patients and lead to delay in initiating appropriate antibiotics, which may contribute to preventable morbidity and mortality. This case series describes the clinical and diagnostic trajectories of three patients who developed FBT-associated multi-organ dysfunction. These patients achieved resolution of infection after receiving doxycycline in the context of a high clinical suspicion. Patients residing in FBT-endemic areas presenting with a febrile illness of unknown etiology with a suggestive constellation of hyponatremia, elevated transaminase levels, and thrombocytopenia should be suspected of having FBT. Clinicians should proceed to serologic testing with early doxycycline therapy for potential rickettsiosis. Familiarizing clinicians with the presentation of rickettsiosis-associated septic syndromes and its early and appropriate antibiotic treatment can provide lifesaving care and reduce health-care costs through prevention of the morbidity associated with FBT.
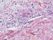
Figures
References
-
- Civen R, Ngo V, 2008. Murine typhus: an unrecognized suburban vectorborne disease. Clin Infect Dis 46: 913–918. - PubMed
-
- California Department of Public Health–Department of Public Health Vector-Borne Disease Section , 2018. Human Flea-Borne Typhus Cases in California. Available at: https://www.cdph.ca.gov/Programs/CID/DCDC/CDPH Document Library/Flea-bor.... Accessed March 3, 2018.
Publication types
MeSH terms
Substances
LinkOut - more resources
Full Text Sources
Medical
