High blood sugar levels but not diabetes mellitus significantly enhance oxaliplatin chemoresistance in patients with stage III colorectal cancer receiving adjuvant FOLFOX6 chemotherapy
- PMID: 31467597
- PMCID: PMC6704420
- DOI: 10.1177/1758835919866964
High blood sugar levels but not diabetes mellitus significantly enhance oxaliplatin chemoresistance in patients with stage III colorectal cancer receiving adjuvant FOLFOX6 chemotherapy
Abstract
Background: The high prevalence of type 2 diabetes mellitus (DM) among patients with colorectal cancer (CRC) is becoming a serious public health concern worldwide. FOLFOX4 chemotherapy is one of the most widely used adjuvant therapies in patients with stage III colon cancer after surgical resection. However, chemotherapy resistance is associated with a poor prognosis. The prognostic impact of high blood sugar levels on oxaliplatin resistance in CRC patients is an unexplored topic.
Methods: In total, 157 patients with stage III CRC were classified according to their fasting blood sugar level (⩾126 or <126 mg/dl). Clinicopathological features and oxaliplatin chemoresistance/survival outcome of the two groups were compared. In vitro cell proliferation assay was performed through d-(+)-glucose administration.
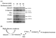
Results: Multivariate analysis results revealed that high blood sugar level was a significantly independent prognostic factor of disease-free survival and overall survival (both p < 0.05), but not DM history. After metformin administration, enhanced proliferation of CRC cells (HT-29, HCT-116, SW480, and SW620) with d-(+)-glucose administration could be reversed and oxaliplatin chemosensitivity considerably increased (p < 0.05). Furthermore, phosphorylation of two glycolysis-related target proteins, SMAD3 and MYC, notably increased under high glucose concentration.
Conclusions: Hyperglycemia can affect clinical outcomes in stage III CRC patients receiving adjuvant chemotherapy, and the mechanism underlying oxaliplatin resistance is possibly associated with increased phosphorylation of SMAD3 and MYC and upregulation of EHMT2 expression.
Keywords: adjuvant chemotherapy; colorectal cancer; hyperglycemia; oxaliplatin resistance; prognosis.
Conflict of interest statement
Conflict of interest statement: The authors declare that there is no conflict of interest.
Figures
References
-
- Ferlay J, Soerjomataram I, Dikshit Ret al. Cancer incidence and mortality worldwide: sources, methods and major patterns in GLOBOCAN 2012. Int J Cancer 2015; 136: E359–E386. - PubMed
-
- Goldberg RM, Sargent DJ, Morton RFet al. A randomized controlled trial of fluorouracil plus leucovorin, irinotecan, and oxaliplatin combinations in patients with previously untreated metastatic colorectal cancer. J Clin Oncol 2004; 22: 23–30. - PubMed
-
- Yang AD, Fan F, Camp ERet al. Chronic oxaliplatin resistance induces epithelial-to-mesenchymal transition in colorectal cancer cell lines. Clin Cancer Res 2006; 12: 4147–4153. - PubMed
-
- Andre T, Boni C, Navarro Met al. Improved overall survival with oxaliplatin, fluorouracil, and leucovorin as adjuvant treatment in stage II or III colon cancer in the MOSAIC trial. J Clin Oncol 2009; 27: 3109–3116. - PubMed
-
- Andre T, Boni C, Mounedji-Boudiaf Let al. Oxaliplatin, fluorouracil, and leucovorin as adjuvant treatment for colon cancer. N Engl J Med 2004; 350: 2343–2351. - PubMed
LinkOut - more resources
Full Text Sources
Other Literature Sources
Research Materials
