The correlation between activity level, serum-ion concentrations and pseudotumours in patients with metal-on-metal hip articulations and metal-on-polyethylene total hip articulations
- PMID: 31508310
- PMCID: PMC6718878
- DOI: 10.1016/j.jot.2018.11.001
The correlation between activity level, serum-ion concentrations and pseudotumours in patients with metal-on-metal hip articulations and metal-on-polyethylene total hip articulations
Abstract
Purpose: Young and physically active patients have mainly received metal-on-metal (MoM) total hip arthroplasty (THA) and resurfacing hip arthroplasty (RHA). However, the correlation between daily physical activity (PA) levels, serum-ion concentrations of chromium and cobalt and pseudotumours formation of patients who underwent MoM THA/RHA is insufficiently explored.
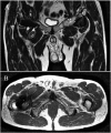
Methods: Ninety-nine patients with 134 hip articulations, 71 MoM THA/RHA and 63 MoP THA participated in a cross-sectional study at XXX University Hospital, Denmark, at mean 7.3 (range: 0.4-21.7) years after surgery. Patients' daily PA was monitored during a two-week period using a triaxial accelerometer. Metal artefact reduction sequence magnetic resonance imaging scans, estimation of serum-ion concentrations of chromium and cobalt and the Copenhagen Hip and Groin Outcome Score (HAGOS) questionnaire were completed on Day 14.
Results: Patients with a pseudotumour who underwent MoM THA/RHA had a higher average cadence of median 101.4 [interquartile range (IQR: 95.5-105)] steps/min than patients without a pseudotumor, median 96.7 (IQR: 92.2-103) steps/min (p = 0.02). Serum-ion concentrations of chromium and cobalt were higher in patients with a pseudotumour who underwent MoM THA/RHA, median 2.57 (IQR: 1.4-3.4) μg/L and 1.80 (IQR: 1.2-2.6) μg/L, respectively, than in patients without a pseudotumour, median 1.85 (IQR: 1.1-3.2) μg/L and 1.34 (IQR: 0.9-2.2) μg/L in MoM THA/RHA (p = 0.04 and p = 0.03). There was no statistical difference in these parameters between patients with and without a pseudotumour who underwent MoP THA. Daily PA levels of patients who underwent MoM THA/RHA were significantly correlated with serum-ion concentrations of chromium (p = 0.0002, r = 0.44) and cobalt (p = 0.005, r = 0.34), whereas no correlations were seen among patients who underwent MoP THA (p > 0.12).
Conclusion: The daily PA level of patients who underwent MoM THA/RHA influences the serum-ion concentrations of chromium and cobalt and the risk of pseudotumour formation.
Translational potential of this article: Results of this article add important knowledge on potential recommendations of prosthesis selection for patients with a high level of physical activity.
Keywords: 3D accelerometer; Clinical outcome measures; Magnetic resonance imaging; Metal-ion concentrations; Metal-on-metal; Resurfacing hip arthroplasty; Total hip arthroplasty.
Figures



References
-
- McMinn D.J. Development of metal/metal hip resurfacing. Hip Int J Clin Exp Res Hip Pathol Ther. 2003;13:41–53. - PubMed
-
- Amstutz H.C., Grigoris P., Dorey F.J. Evolution and future of surface replacement of the hip. J Orthop Sci Off J Jpn Orthop Ass. 1998;3:169–186. - PubMed
-
- Pandit H., Glyn-Jones S., McLardy-Smith P., Gundle R., Whitwell D., Gibbons C.L. Pseudotumours associated with metal-on-metal hip resurfacings. JBone Joint SurgBr. 2008;90:847–851. - PubMed
-
- Gruber F.W., Bock A., Trattnig S., Lintner F., Ritschl P. Cystic lesion of the groin due to metallosis: a rare long-term complication of metal-on-metal total hip arthroplasty 1. J Arthroplasty. 2007;22:923–927. - PubMed
-
- Boardman D.R., Middleton F.R., Kavanagh T.G. A benign psoas mass following metal-on-metal resurfacing of the hip. J Bone Joint Surg Br Vol. 2006;88:402–404. - PubMed
LinkOut - more resources
Full Text Sources
Research Materials