Detecting Pneumoperitoneum via Point-of-Care Abdominal Ultrasound: To See Beyond Touch
- PMID: 31508386
- PMCID: PMC6726341
- DOI: 10.12890/2019_001193
Detecting Pneumoperitoneum via Point-of-Care Abdominal Ultrasound: To See Beyond Touch
Abstract
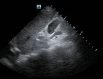
Point-of-care ultrasound is increasingly important in the management of acute medical emergencies. An elderly man was brought to the emergency department after 2 days of fever and urinary retention. He was drowsy and had peri-arrest arrhythmia. He was hypoperfused peripherally with a systolic blood pressure of 45 mmHg and so was managed as for septic shock with no obvious aetiology. Chest and abdominal physical examinations were unremarkable. The source of sepsis was unclear. A point-of-care abdominal ultrasound was performed by the reviewing internist which detected a pneumoperitoneum, leading to a change in diagnosis to a perforated viscus which was confirmed later by a CT of the abdomen and pelvis.
Learning points: Pneumoperitoneum leading to septic shock is a medical emergency, but diagnosis is frequently delayed as the physical examination and chest and abdominal x-rays may fail to detect the condition in the critically ill patient, leading to delayed medical and surgical intervention.There is a role for point-of-care abdominal ultrasound for the early diagnosis of pneumoperitoneum with the air reverberation artefact.Point-of-care ultrasound of the abdomen to identify intra-abdominal air is an important physical examination adjunct in undifferentiated septic shock and should be incorporated into the routine care of patients and included in the acute medicine training syllabus.
Keywords: Point-of-care ultrasound; abdominal air reverberation artefact; perforated viscus; pneumoperitoneum.
Conflict of interest statement
Conflicts of Interests: The Authors declare that there are no competing interest
Figures




References
-
- Moore CL, Copel JA. Point-of-care ultrasonography. N Engl J Med. 2011;364:749–757. - PubMed
-
- Romero JA, Castaño N. Ultrasonography is superior to plain radiography in the diagnosis of pneumoperitoneum. Br J Surg. 2002;89(3):351–354. - PubMed
-
- Stapakis JC, Thickman D. Diagnosis of pneumoperitoneum: abdominal CT vs upright chest film. J Comput Assist Tomogr. 1992;16(5):713–716. - PubMed
LinkOut - more resources
Full Text Sources