Bariatric Surgery Causing Hyperammonemia
- PMID: 31511810
- PMCID: PMC6726418
- DOI: 10.7759/cureus.5098
Bariatric Surgery Causing Hyperammonemia
Abstract
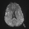
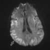
Bariatric surgery is recognized as a highly effective therapy for obesity but it does carry a risk of short term and long term complications since it results in a permanent alteration of the patient's anatomy. We present a case of 45-year-old female presented with a macular rash on extremities and facial rash from a rehabilitation center after having been discharged a month earlier from a revision surgery on her gastric bypass for anastomotic bleeding. She progressively became lethargic with Magnetic Resonance Imaging (MRI) of the brain showed symmetrically restricted diffusion concerning for hypoxic injury. Her ammonia levels were at 142 micromoles per liter (mmol/L) at the initial check which worsened to 432 mmol/L over a few days, despite treatment. Laboratory investigation later revealed her to be deficient in zinc along with many essential and nonessential amino acids. Supplemental nutrition was initiated, specifically fortifying her parenteral feeds with the essential amino acid combinations that were found deficient on testing. This lead to a slow but progressive improvement in encephalopathy. This case highlights the importance of understanding the short and long term complications of bariatric surgery. Although neurological complications are rare with peripheral neuropathy being the most common one, hyperammonemic encephalopathy is a very severe complication, with incompletely understood mechanisms and predispositions, frequently resulting in failure of recognition and subsequent delays in intervention.
Keywords: bariatric surgery; hyperammonemia; nutritional deficiencies following bariatric surgery.
Conflict of interest statement
The authors have declared that no competing interests exist.
Figures



References
-
- Assessment of coma and impaired consciousness: a practical scale. Teasdale G, Jennett B. Lancet. 1974;13:81–84. - PubMed
-
- Hyperammonemic syndrome after Roux‐en‐Y gastric bypass. Fenves AZ, Shchelochkov OA, Mehta A. Obesity. 2015;23:746–749. - PubMed
-
- Prevalence of obesity among adults and youth: United States, 2015-2016. Hales CM, Carroll MD, Fryar CD, et al. https://www.cdc.gov/nchs/data/databriefs/db288.pdf NCHS Data Brief. 2017;288:1–7. - PubMed
-
- Bariatric surgery trends: an 18-year report from the International Bariatric Surgery Registry. Samuel I, Mason EE, Renquist KE, et al. Am J Surg. 2006;1:657–662. - PubMed
Publication types
LinkOut - more resources
Full Text Sources