A rare presentation of neuralgic amyotrophy in a child and a review of recent literature
- PMID: 31526173
- PMCID: PMC6862908
- DOI: 10.1177/0300060519868632
A rare presentation of neuralgic amyotrophy in a child and a review of recent literature
Abstract
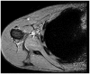
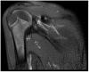
Neuralgic amyotrophy (NA), also known as brachial neuritis and previously known as Parsonage–Turner Syndrome, has an unknown etiology. Patients with NA have a clinical pattern characterized by sudden and acute pain across the shoulder followed by flaccid paralysis. NA has an incidence of one new case per 1000 people per year with an onset of age ranging between 20 and 60 years. We describe a rare presentation of NA in a Caucasian boy who was 11 years old and did not have any other family members affected by NA. All diagnostic studies were normal and he had full recovery 5 months from the onset of symptoms. We revised the recent literature of NA. No specific diagnostic studies can confirm the diagnosis of NA, although magnetic resonance imaging or electrophysiological studies can highlight some special features. Treatment of NA is symptomatic and it is based on analgesic drugs and physical therapy, although early administration of steroids appears to improve the outcome. Prognosis of NA is generally favorable with full recovery usually within 2 years. This disease is typically an adult syndrome, but pediatricians should also be aware of this entity to avoid delays in diagnosis.
Keywords: Neuralgic amyotrophy; childhood; full recovery; magnetic resonance imaging; muscle weakness; nerve conduction study; pain.
Figures



References
-
- Al-Ghamdi F, Ghosh PS. Neuralgic amyotrophy in children. Muscle Nerve 2018; 57: 932–936. - PubMed
-
- Mullins GM, O’Sullivan SS, Neligan A, et al. Non-traumatic brachial plexopathies, clinical, radiological and neurophysiological findings from a tertiary centre. Clin Neurol Neurosurg 2007; 109: 661–666. - PubMed
-
- Høst C, Skov L. Idiopathic neuralgic amyotrophy in children. Case report, 4 year follow up and review of the literature. Eur J Paediatr Neurol 2010; 14: 467–473. doi: 10.1016/j.ejpn.2010.02.007. Epub 2010 Mar 26. Review - PubMed
-
- Miller JFD, Pruitt S, McDonald TJ. Acute brachial plexus neuritis: an uncommon cause of shoulder pain. Am Fam Physician 2000; 62: 2067–2072. - PubMed
Publication types
MeSH terms
LinkOut - more resources
Full Text Sources