MR imaging in discriminating between benign and malignant paediatric ovarian masses: a systematic review
- PMID: 31529256
- PMCID: PMC6957553
- DOI: 10.1007/s00330-019-06420-4
MR imaging in discriminating between benign and malignant paediatric ovarian masses: a systematic review
Abstract
Objectives: The use of magnetic resonance (MR) imaging in differentiation between benign and malignant adnexal masses in children and adolescents might be of great value in the diagnostic workup of sonographically indeterminate masses, since preserving fertility is of particular importance in this population. This systematic review evaluates the diagnostic value of MR imaging in children with an ovarian mass.
Methods: The review was made according to the PRISMA Statement. PubMed and EMBASE were systematically searched for studies on the use of MR imaging in differential diagnosis of ovarian masses in both adult women and children from 2008 to 2018.
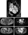
Results: Sixteen paediatric and 18 adult studies were included. In the included studies, MR imaging has shown good diagnostic performance in differentiating between benign and malignant ovarian masses. MR imaging techniques including diffusion-weighted imaging (DWI) and dynamic contrast-enhanced (DCE) imaging seem to further improve the diagnostic performance.
Conclusion: The addition of DWI with apparent diffusion coefficient (ADC) values measured in enhancing components of solid lesions and DCE imaging may further increase the good diagnostic performance of MR imaging in the pre-operative differentiation between benign and malignant ovarian masses by increasing specificity. Prospective age-specific studies are needed to confirm the high diagnostic performance of MR imaging in children and adolescents with a sonographically indeterminate ovarian mass.
Key points: • MR imaging, based on several morphological features, is of good diagnostic performance in differentiating between benign and malignant ovarian masses. Sensitivity and specificity varied between 84.8 to 100% and 20.0 to 98.4%, respectively. • MR imaging techniques like diffusion-weighted imaging (DWI) and dynamic contrast-enhanced (DCE) imaging seem to improve the diagnostic performance. • Specific studies in children and adolescents with ovarian masses are required to confirm the suggested increased diagnostic performance of DWI and DCE in this population.
Keywords: Magnetic resonance imaging; Ovarian neoplasms; Systematic review.
Conflict of interest statement
The authors of this manuscript declare no relationships with any companies, whose products or services may be related to the subject matter of the article.
Figures



References
-
- Cancer Research UK Ovarian cancer incidence by age. In: Cancer Res UK https://www.cancerresearchuk.org/health-professional/cancer-statistics/s.... Accessed 1 Jan 2019
-
- Kirkham YA, Lacy JA, Kives S, Allen L. Characteristics and management of adnexal masses in a Canadian pediatric and adolescent population. J Obstet Gynaecol Can. 2011;33(9):935–943. - PubMed
-
- Stanković ZB, Sedlecky K, Savić D, Lukač BJ, Mažibrada I, Perovic S. Ovarian preservation from tumors and torsions in girls: prospective diagnostic study. J Pediatr Adolesc Gynecol. 2017;30(3):405–412. - PubMed
-
- Hermans AJ, Kluivers KB, Janssen LM, et al. Adnexal masses in children, adolescents and women of reproductive age in the Netherlands: a nationwide population-based cohort study. Gynecol Oncol. 2016;143(1):93–97. - PubMed
-
- Hermans AJ, Kluivers KB, Siebers AG, et al. The value of fine needle aspiration cytology diagnosis in ovarian masses in children and adolescents. Hum Reprod. 2016;31(6):1236–1240. - PubMed
Publication types
MeSH terms
Substances
LinkOut - more resources
Full Text Sources
Medical