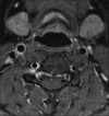
Carotidynia
- PMID: 31535623
- PMCID: PMC6813683
- DOI: 10.4103/jpgm.JPGM_262_19
Carotidynia
Conflict of interest statement
None
Figures


References
-
- Lecler A, Obadia M, Sadik JC. Introduction of the TIPIC syndrome in the next ICHD classification. Cephalalgia. 2019;39:164–5. - PubMed
-
- Arnold M. Headache classification committee of the international headache society (IHS) the international classification of headache disorders. Cephalalgia. 2018;38:73–98. - PubMed
Publication types
MeSH terms
LinkOut - more resources
Full Text Sources
Medical