Spontaneous rupture of the eyeball due to choroidal metastasis of gastric carcinoma: A case report
- PMID: 31577766
- PMCID: PMC6783159
- DOI: 10.1097/MD.0000000000017441
Spontaneous rupture of the eyeball due to choroidal metastasis of gastric carcinoma: A case report
Abstract
Rationale: Although metastatic tumor is the most common intraocular malignancy, choroidal metastasis from gastric cancer is relatively rare. We present the exact course of a spontaneous rupture of the eyeball with choroidal metastasis from gastric carcinoma (GC) and the applied surgical interventions.
Patient concerns: A 59-year-old male presented with pain and vision loss on his left eye for 6 months. He was diagnosed with GC, for which he received systemic chemotherapy for a year.
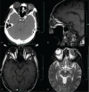
Diagnoses: Preoperative B-scan, color fundus photography, computed tomography, and magnetic resonance imaging showed a choroidal tumor in his left eye. The spontaneous rupture of the corneoscleral limbus from 2 to 5 o'clock, combined secondary glaucoma, exudative retinal detachment and choroidal detachment were found.
Interventions: The ruptured corneoscleral limbus was sutured and the orbit was lavaged with 0.4% cisplatin during the enucleation.
Outcomes: Histopathology confirmed high homology of the choroidal metastasis and GC. He survived for 2 months after surgery, without pain or orbital neoplasms.
Lessons: Choroidal metastasis from GC rapidly progressed to spontaneous rupture of the eyeball. Careful eyeball enucleation followed by orbital lavage with chemotherapeutics may reduce metastasis risk beyond the eyeball. Additional therapeutic interventions should be considered in patients resistant to single systemic chemotherapy.
Conflict of interest statement
The authors have no conflicts of interest to disclose.
Figures




References
-
- Mathis T, Jardel P, Loria O, et al. New concepts in the diagnosis and management of choroidal metastases. Prog Retin Eye Res 2019;68:144–76. - PubMed
-
- Demirci H, Shields CL, Chao AN, et al. Uveal metastasis from breast cancer in 264 patients. Am J Ophthalmol 2003;136:264–71. - PubMed
-
- Shields CL, Shields JA, Gross NE, et al. Survey of 520 eyes with uveal metastases. Ophthalmology 1997;104:1265–76. - PubMed
-
- Ferry AP, Font RL. Carcinoma metastatic to the eye and orbit. I. A clinicopathologic study of 227 cases. Arch Ophthalmol 1974;92:276–86. - PubMed
-
- Shah SU, Mashayekhi A, Shields CL, et al. Uveal metastasis from lung cancer: clinical features, treatment, and outcome in 194 patients. Ophthalmology 2014;121:352–7. - PubMed
Publication types
MeSH terms
LinkOut - more resources
Full Text Sources
Medical
Miscellaneous