Diacylglycerol kinase epsilon nephropathy: late diagnosis and therapeutic implications
- PMID: 31583090
- PMCID: PMC6768293
- DOI: 10.1093/ckj/sfz043
Diacylglycerol kinase epsilon nephropathy: late diagnosis and therapeutic implications
Abstract
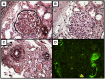
A 17-year-old male presented thrombotic microangiopathy (TMA) at 6 months of age with arterial hypertension, anemia, thrombocytopenia and kidney injury improving with plasma infusions. Fourteen years later, he was diagnosed with severe arterial hypertension, increase in serum creatinine and chronic TMA on kidney biopsy. Eculizumab was started and after 18 months of treatment, he persisted with hypertension, decline in renal function and proteinuria. Genetic analysis demonstrated mutation in diacylglycerol kinase epsilon (DGKe). Complement blockade was stopped. This case of late diagnosis of DGKe nephropathy highlights the importance of genetic testing in patients presenting TMA during the first year of life.
Keywords: DGKe; atypical hemolytic uremic syndrome; eculizumab; plasma exchange; thrombotic microangiopathy.
© The Author(s) 2019. Published by Oxford University Press on behalf of ERA-EDTA.
Figures



References
-
- Schaefer F, Ardissino G, Ariceta G. et al. Clinical and genetic predictors of atypical hemolytic uremic syndrome phenotype and outcome. Kidney Int 2018; 94: 408–418 - PubMed
LinkOut - more resources
Full Text Sources