Herlyn-Werner-Wunderlich syndrome: Diagnosis and treatment of an atypical case and review of literature
- PMID: 31586891
- PMCID: PMC6796699
- DOI: 10.1016/j.ijscr.2019.08.035
Herlyn-Werner-Wunderlich syndrome: Diagnosis and treatment of an atypical case and review of literature
Abstract
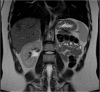
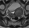
Introduction: Herlyn-Werner-Wunderlich syndrome (HWWS), also known as OHVIRA syndrome, is a rare congenital abnormality of Müllerian duct development characterized by uterus didelphys, unilateral blind hemivagina, and ipsilateral renal agenesis.
Presentation of case: In this report, the authors present the case of a 12-year-old patient presenting with progressive and disabling abdominal pain after the onset of menarche diagnosed with HWWS, describe the various diagnostic modalities and treatment options available, along with a current review of the literature.
Discussion: With normal external genitalia, HWWS is usually asymptomatic until menarche when patients present with worsening abdominal pain during menses and a palpable pelvic or abdominal mass. Untreated, HWWS may lead to a number of complications including endometriosis, infertility, and spontaneous abortion.
Conclusion: Greater awareness of HWWS will lead to earlier detection and is the key to alleviating patient suffering and avoiding potentially severe complications.
Keywords: Case report; Hemi-hysterectomy; Herlyn-Werner-Wunderlich syndrome; Müllerian ducts abnormalities; OHVIRA syndrome; Renal agenesis.
Copyright © 2019 The Authors. Published by Elsevier Ltd.. All rights reserved.
Conflict of interest statement
The authors have none conflicts of interests to declare.
Figures







References
-
- Gholoum S., Puligandla P.S., Hui T., Su W., Quiros E., Laberge J.-M. Management and outcome of patients with combined vaginal septum, bifid uterus, and ipsilateral renal agenesis (Herlyn-Werner-Wunderlich syndrome) J. Pediatr. Surg. 2006;41(5):987–992. - PubMed
-
- Wang S., Lang J.H., Zhu L., Zhou H.M. Duplicated uterus and hemivaginal or hemicervical atresia with ipsilateral renal agenesis: an institutional clinical series of 52 cases. Eur. J. Obstet. Gynecol. Reprod. Biol. 2013;170(2):507–511. - PubMed
-
- Wang J., Zhu L., Lang J. Clinical characteristics and treatment of Herlyn–Werner–Wunderlich syndrome. Arch. Gynecol. Obstet. 2014;290(5):947–950. - PubMed
-
- Agha R.A., Borrelli M.R., Farwana R., Koshy K., Fowler A., Orgill D.P., For the SCARE Group The SCARE 2018 statement: updating consensus Surgical CAse REport (SCARE) guidelines. Int. J. Surg. 2018;60:132–136. - PubMed
LinkOut - more resources
Full Text Sources
Research Materials