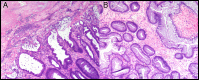
Cloacogenic Polyps
- PMID: 31616754
- PMCID: PMC6658068
- DOI: 10.14309/crj.0000000000000083
Cloacogenic Polyps
Figures


References
-
- Sanduleanu S, Driessen A, Hameeteman W, van Gemert W, de Bruïne A, Masclee A. Inflammatory cloacogenic polyp: Diagnostic features by confocal endomicroscopy. Gastrointest Endosc. 2009;69(3 Pt 1):595–8. - PubMed
-
- Lopez-Ramos CS, Rodríguez-Gómez S, Bailador-Andrés C, Baizán-García MJ. Inflammatory cloacogenic polyp: A rare cause of lower gastrointestinal bleeding. Rev Esp Enferm Dig. 2013;105(4):240–1. - PubMed
-
- Parfitt JR, Shepherd NA. Polypoid mucosal prolapse complicating low rectal adenomas: Beware the inflammatory cloacogenic polyp! Histopathology. 2008;53(1):91–6. - PubMed
-
- Ewertsen C, González-Palafox MA, Rivera-Domínguez ME, García-Salazar JM, Calva-Cerqueira BD. Inflammatory cloacogenic polyp. Ugeskr Laeger. 2008;170(35):2708. [Spanish.] - PubMed
-
- Zaman S, Mistry C, Bowley DM. Cloacogenic polyps in an adolescent: A rare cause of rectal bleeding . J Pediatr Surg. 2013;48(8):e5–7. - PubMed
LinkOut - more resources
Full Text Sources