Twiddler's Syndrome: An Unusual Cause of Repeated Shocks by Implantable Cardioverter-Defibrillator in an Asymptomatic Patient
- PMID: 31620258
- PMCID: PMC6791089
- DOI: 10.4103/HEARTVIEWS.HEARTVIEWS_45_19
Twiddler's Syndrome: An Unusual Cause of Repeated Shocks by Implantable Cardioverter-Defibrillator in an Asymptomatic Patient
Abstract
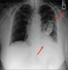
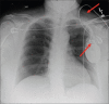
Twiddler's syndrome refers to malfunction of pacemaker or implantable cardioverter-defibrillator (ICD) resulting from deliberate or unintentional twisting of pulse generator in device pocket, resulting in lead dislodgment. We report a case of a 65-year-old woman with multiple ICD shocks and antitachycardia pacing events on device interrogation, while she was unaware of the ICD discharges. Twiddler's syndrome is rare and mostly occurs in obese or elderly because of loose subcutaneous tissue allowing pulse generator to rotate in its pocket. It can be prevented by patient education against hand manipulating the generator. Smaller device pocket or suturing generator to fascia can also prevent future episodes.
Keywords: Implantable cardioverter-defibrillator (ICD); shock; twiddler's syndrome.
Copyright: © 2019 Heart Views.
Conflict of interest statement
There are no conflicts of interest.
Figures







References
-
- Fahraeus T, Höijer CJ. Early pacemaker twiddler syndrome. Europace. 2003;5:279–81. - PubMed
-
- Veltri EP, Mower MM, Reid PR. Twiddler's syndrome: A new twist. Pacing Clin Electrophysiol. 1984;7:1004–9. - PubMed
-
- Sidhu GS, Seifi A, Zangiabadi AH, Reinig M. Follow your leads: A case of twiddler's syndrome. South Med J. 2009;102:871–2. - PubMed
-
- Nicholson WJ, Tuohy KA, Tilkemeier P. Twiddler's syndrome. N Engl J Med. 2003;348:1726–7. - PubMed