The radiological diagnosis of pneumonia in children
- PMID: 31641573
- PMCID: PMC5922330
- DOI: 10.15172/pneu.2014.5/482
The radiological diagnosis of pneumonia in children
Abstract
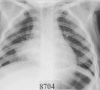
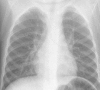
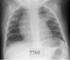
Despite the importance of paediatric pneumonia as a cause of short and long-term morbidity and mortality worldwide, a reliable gold standard for its diagnosis remains elusive. The utility of clinical, microbiological and radiological diagnostic approaches varies widely within and between populations and is heavily dependent on the expertise and resources available in various settings. Here we review the role of radiology in the diagnosis of paediatric pneumonia. Chest radiographs (CXRs) are the most widely employed test, however, they are not indicated in ambulatory settings, cannot distinguish between viral and bacterial infections and have a limited role in the ongoing management of disease. A standardised definition of alveolar pneumonia on a CXR exists for epidemiological studies targeting bacterial pneumonias but it should not be extrapolated to clinical settings. Radiography, computed tomography and to a lesser extent ultrasonography and magnetic resonance imaging play an important role in complicated pneumonias but there are limitations that preclude their use as routine diagnostic tools. Large population-based studies are needed in different populations to address many of the knowledge gaps in the radiological diagnosis of pneumonia in children, however, the feasibility of such studies is an important barrier.
Keywords: children; diagnosis; pneumonia; radiology; utility.
© The Author(s) 2014.
Figures



References
-
- King PT, Holdsworth SR, Freezer NJ, Villanueva E, Holmes PW. Characterisation of the onset and presenting clinical features of adult bronchiectasis. Respir Med. 2006;100(12):2183–9. - PubMed
-
- Berti E, Galli L, de Martino M, Chiappini E. International guidelines on tackling community-acquired pneumonia show major discrepancies between developed and developing countries. Acta Paediatr Suppl. 2013;102(465):4–16. - PubMed
-
- Bryce J, Victora CG, Habicht JP, Black RE, Scherpbier RW, Advisors MI, MCE-IMCI Technical Advisors Programmatic pathways to child survival: results of a multi-country evaluation of Integrated Management of Childhood Illness. Health Policy Plan. 2005;20(Suppl1):i5–17. - PubMed
Publication types
LinkOut - more resources
Full Text Sources