Hepatocellular carcinoma with a direct right atrial extension in an HCV patient previously treated with direct-acting antiviral therapy: a case report
- PMID: 31659529
- PMCID: PMC6821414
- DOI: 10.1186/s43044-019-0012-4
Hepatocellular carcinoma with a direct right atrial extension in an HCV patient previously treated with direct-acting antiviral therapy: a case report
Abstract
Background: Hepatocellular carcinoma (HCC) is considered the third-leading cause of cancer-related mortality worldwide. Most cases of HCC are usually associated with liver cirrhosis due to various causes such as alcohol or more commonly viral hepatitis. Usually, patients remain asymptomatic for a long time, and symptoms are usually related to the cirrhosis itself or secondary to tumor extension. Intra-cardiac involvement with HCC rarely develops with a very poor prognosis. The occurrence and recurrence of HCC in cirrhotic patients treated with direct-acting antiviral (DAA) therapy (sofosbuvir) have been discussed in a few trials so far with no valid answer.
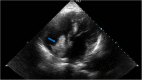
Case presentation: We are reporting a case of recurrent HCC with an accidentally discovered direct right atrial extension with tumor thrombus through the inferior vena cava (IVC) in a cirrhotic patient previously treated with DAA. Unfortunately, due to his critical general condition, he died within days.
Conclusion: Cardiac involvement in HCC rarely occurs and usually develops in advanced stages of HCC with very poor reported prognosis. Data regarding the relation between DAA and HCC development is controversial.
Keywords: Carcinogenesis; Cirrhosis; Direct extension; Direct-acting antiviral therapy; Hepatocellular carcinoma; Tumor thrombus.
Conflict of interest statement
The authors declare that they have no competing interests
Figures




References
-
- Bosch FX, Ribes J, Borràs J (eds) (1999) Epidemiology of primary liver cancer. Seminars in liver disease. © 1999 by Thieme Medical Publishers, Inc - PubMed
-
- Senarslan O, Kantarci UH, Eyuboglu M, Senarslan DA. Is it possible? Invasion of the heart with hepatocellular carcinoma in a short time. Int J Cardiovasc Acad. 2016;2(3):124–126. doi: 10.1016/j.ijcac.2016.06.002. - DOI
LinkOut - more resources
Full Text Sources