Primary epitheloid angiosarcoma of the pleura: an exceptional tumor location
- PMID: 31692820
- PMCID: PMC6815478
- DOI: 10.11604/pamj.2019.33.327.18145
Primary epitheloid angiosarcoma of the pleura: an exceptional tumor location
Abstract
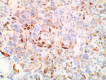
Primary angiosarcoma of the pleura is an extremely rare tumour arising from arterial or venous pulmonary vessels of various size. It is characterized by an aggressive course and a poor prognosis. The early diagnosis is challenging due to diverse clinical and radiological manifestations. We report a case of a 70 year old male with primary right pleural epitheloid angiosarcoma. The patient had a history of a two week's progressive dyspnea. CT-scan showed a prominent thikening of the right pleura associated with pleural effusion and atelectasis. CT-scan guided by biopsy was performed and histological examination showed a tumor proliferation consisting of sheets of polygonal and epitheloid cells showing rudimentary vascular differentiation. Immunohistochemically, tumor cells were strongly positive for CD31 and Factor VIII-related antigen, negative for CD34, weakly and focally positive for EMA and Cytokeratine. The overall pathological and immunohistochemical features of the pleural specimens supported the diagnosis of epitheloid angiosarcma. The patient died after a week of discharge by pulsless ventricular tachycardia arrest. In addition, we also present a brief litterature review on pleural angiosarcoma. Our experience with this case suggests that comprehensive and sufficient sample collection and meticulous histological examination aided with immunohistochemical stains, particulary the endothelial markers, are required for accurate diagnosis of this rare malignancy.
Keywords: Angiosarcoma; Pleura; epitheloid; immunohistochemistry.
© Mustapha Azzakhmam et al.
Conflict of interest statement
The authors declare no competing interests.
Figures





References
-
- Emanuelle Dainese, Barbara Puzzi, Mario Milani, Giorgio Rossi, Maria Grazia Pezzotta, giuseppe Vertemati, et al. Primary pleural epitheloid angiosarcoma: a case report and review of the literature. pathology_Research and practice. 2010;(206):415–419. - PubMed
-
- Galmiche L, Morel HP, Moreau A, Labrosse PA, Coindre JM, Heymann MF. Primary adrenal angiosarcoma. Ann Pathol. 2004;(24):371–373. - PubMed
-
- SG Goh, KL Chuah, HK Goh, YY Chen. Two cases of epitheloid angiosarcoma involving the thyroid and brief review of non-Alpine epitheloid angiosarcoma of the thyroid. Arch Pathol Lab Med. 2003;(127):E70–E73. - PubMed
Publication types
MeSH terms
LinkOut - more resources
Full Text Sources
Medical
Research Materials