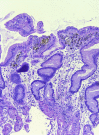
Gastric and duodenal pseudomelanosis: a new insight into its pathogenesis
- PMID: 31709332
- PMCID: PMC6831910
- DOI: 10.1016/j.vgie.2019.06.006
Gastric and duodenal pseudomelanosis: a new insight into its pathogenesis
Figures





References
-
- Tang S.J., Wu R., Bhaijee F. Gastrointestinal sarcoidosis and gastric melanosis (video) Video J and Encyclopedia of GI Endosc. 2014;2:95–98.
-
- Tang SJ, Bhaijee F. Pseudomelanosis duodeni. Video J and Encyclopedia of GI Endosc 2013;1:272-273.
-
- Yamase H., Norris M., Gillies C. Pseudomelanosis duodeni: a clinicopathologic entity. Gastrointest Endosc. 1985;31:83–86. - PubMed
-
- West B. Pseudomelanosis duodeni. J Clin Gastroenterol. 1988;10:127–129. - PubMed
-
- Rex D.K., Jersild R.A., Jr. Further characterization of the pigment in pseudomelanosis duodeni in three patients. Gastroenterology. 1988;95:177–182. - PubMed
LinkOut - more resources
Full Text Sources