Skip to main page content
U.S. flag

An official website of the United States government

Dot gov

The .gov means it’s official.
Federal government websites often end in .gov or .mil. Before sharing sensitive information, make sure you’re on a federal government site.

Https

The site is secure.
The https:// ensures that you are connecting to the official website and that any information you provide is encrypted and transmitted securely.

Access keys NCBI Homepage MyNCBI Homepage Main Content Main Navigation
Review
. 2019 Sep 16;3(12):2224-2235.
doi: 10.1210/js.2019-00081. eCollection 2019 Dec 1.

Pediatric Parathyroid Carcinoma: A Case Report and Review of the Literature

Affiliations
Review

Pediatric Parathyroid Carcinoma: A Case Report and Review of the Literature

Aditya Dutta et al. J Endocr Soc. .

Abstract

Primary hyperparathyroidism (PHPT) is a rare endocrine disease in the pediatric population. Sporadic parathyroid adenomas remain the most common cause of pediatric PHPT. Parathyroid carcinoma (PC) is an extremely rare cause of pediatric PHPT. We report a 16-year-old boy presenting with a nonhealing fragility fracture of the right leg along with florid features of rickets. Examination revealed a neck mass, mimicking a goiter. Biochemical findings were consistent with PHPT. Imaging was suggestive of a right inferior parathyroid mass infiltrating the right lobe of thyroid. The patient underwent en bloc surgical excision of the parathyroid mass along with the right lobe of thyroid. Histopathology was suggestive of a PC. He achieved biochemical remission with normalization of serum calcium and parathyroid hormone levels. At follow-up, there was no biochemical or imaging evidence of recurrence or metastasis. Genetic analysis revealed heterozygous germline deletion of CDC73. An extensive literature search on PC was conducted, with an emphasis on the pediatric population. Thirteen cases of pediatric PC were identified. The median age of presentation was 13 years; there was no sex predilection. All cases were symptomatic; 31% had a visible neck mass. The median serum calcium and intact parathyroid hormone levels were 14.3 mg/dL and 2000 pg/mL, respectively. All patients underwent surgical excision, with 27% showing metastatic relapse. Our findings indicate that the preoperative features that could point toward a diagnosis of PC in a child with PHPT are a tumor size of >3 cm, thyroid infiltration on imaging, and severe hypercalcemia at presentation.

Keywords: hyperparathyroidism-jaw tumor syndrome; pediatric parathyroid carcinoma; primary hyperparathyroidism; rickets.

PubMed Disclaimer

Figures

Figure 1.
Figure 1.
Clinical photograph of the patient showing (a) shortened and internally rotated right leg, (b) prominent right-sided neck swelling, and (c) broadened right wrist suggestive of rickets.
Figure 2.
Figure 2.
Radiograph of the patient showing (a) subperiosteal resorption of the phalanges, widening of the growth plates of the right wrist, cupping and fraying of the distal ends of right radius and ulna (green arrow); (b) bilateral coxa vara; and (c) thinning of the cortices of leg bones, fracture of the right tibia and ulna, and well-defined lytic lesion involving the proximal part of left tibia. (d) CT of the neck (axial image) showing a 3.6 × 2.5 × 2.7 cm homogenously hypodense mass (black arrow) infiltrating postero-inferiorly into the right lobe of the thyroid (orange arrow).
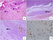
Figure 3.
Figure 3.
(a) Photomicrograph showing parathyroid tumor tissue (black arrowheads) infiltrating the thyroid parenchyma causing follicular destruction (red arrow; hematoxylin and eosin; magnification ×100). (b) The tumor is seen causing vascular invasion (black arrow; hematoxylin and eosin; magnification ×100) and (c) perineural invasion (black arrow; hematoxylin and eosin; magnification ×200). (d) Ki-67 labeling index of the tumor tissue is 15% (magnification ×400).
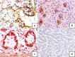
Figure 4.
Figure 4.
Parafibromin immunohistochemistry (magnification ×400) showing (a) diffuse positivity in normal parathyroid tissue as compared with (b) sparse nuclear positivity in index parathyroid carcinoma. Representative images of (c) positive control (colonic mucosa) and (d) negative control (hepatocytes).

References

    1. Roizen J, Levine MA. Primary hyperparathyroidism in children and adolescents. J Chin Med Assoc. 2012;75(9):425–434. - PMC - PubMed
    1. Schantz A, Castleman B. Parathyroid carcinoma: a study of 70 cases. Cancer. 1973;31(3):600–605. - PubMed
    1. Fujimoto Y, Obara T, Ito Y, Kanazawa K, Aiyoshi Y, Nobori M. Surgical treatment of ten cases of parathyroid carcinoma: importance of an initial en bloc tumor resection. World J Surg. 1984;8(3):392–400. - PubMed
    1. Young TO, Saltzstein EC, Boman DA. Parathyroid carcinoma in a child: unusual presentation with seizures. J Pediatr Surg. 1984;19(2):194–196. - PubMed
    1. McHenry CR, Rosen IB, Walfish PG, Cooter N. Parathyroid crisis of unusual features in a child. Cancer. 1993;71(5):1923–1927. - PubMed

LinkOut - more resources