Meralgia paresthetica: Now showing on 3T magnetic resonance neurography
- PMID: 31754539
- PMCID: PMC6837795
- DOI: 10.4102/sajr.v23i1.1745
Meralgia paresthetica: Now showing on 3T magnetic resonance neurography
Abstract
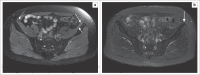
Meralgia paresthetica is a neuropathy of the lateral femoral cutaneous nerve. Traditionally, the diagnosis is based on classical symptoms and signs. In cases where there is a diagnostic dilemma, the role of magnetic resonance imaging has been to exclude other causes for the patient's presentation, as the small extraspinal peripheral nerves were not well visualised at imaging. The development of 3-Tesla magnetic resonance neurography, however, has made pathology of these nerves more conspicuous.
Keywords: Meralgia paresthetica; fluid-sensitive sequences; lateral femoral cutaneous nerve; magnetic resonance neurography; neuropathy.
© 2019. The Authors.
Conflict of interest statement
The authors declare no conflict of interest regarding the write up of this article.
Figures



References
-
- Grossman MG, Ducey SA, Nadler SS, Levy AS. Meralgia paresthetica: Diagnosis and treatment. J Am Acad Orthop Surg. 2001;9:336–344. - PubMed
LinkOut - more resources
Full Text Sources