Melanocytoma of the optic disk: A review
- PMID: 31755427
- PMCID: PMC6896535
- DOI: 10.4103/ijo.IJO_2039_19
Melanocytoma of the optic disk: A review
Abstract
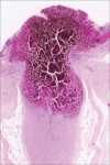
Melanocytoma is a deeply pigmented variant of melanocytic nevus that classically occurs in the optic disk, sometimes with contiguous involvement of the adjacent retina or choroid. Historically, this tumor was often confused with malignant melanoma both clinically and histopathologically. Today, however, it is generally recognized by its typical clinical features that differ from most melanomas and erroneous enucleation is rarely done. Histopathologically, melanocytoma is composed of intensely pigmented round to oval nevus cells with benign features. Although traditionally believed to be a relatively stationary lesion, it is now known to exhibit minor enlargement in 10--15% of cases and can cause minor visual loss by a variety of mechanisms. In rare instance, it can induce severe visual loss due to spontaneous necrosis of the lesion or compressive optic neuropathy. More importantly, it can exhibit malignant transformation into melanoma in 1--2% of cases. Ophthalmologists should be familiar with melanocytoma of the optic disk and affected patients should be followed periodically.
Keywords: Choroid; eye; magnocellular nevus; melanocytoma; melanoma; optic disk; optic nerve; pseudomelanoma; retina; tumor; uvea; uveal tract.
Conflict of interest statement
None
Figures









References
-
- Apple D.J, Craythorn JM, Reidy JJ, et al. Malignant transformation of an optic nerve melanocytoma. Can J Ophthalmol. 1984;19:320–325. - PubMed
-
- Archdale T.W, Magnus DE. Melanocytoma of the optic disc. J Am Optom Assoc. 1993;64:98–103. - PubMed
-
- Balestrazzi E. Melanocytoma of the optic disk. Ophthalmologica. 1973;166:289–292. - PubMed
-
- Bartlett H.M, Willoughby B, Mandava N. Polypoidal choroidal vasculopathy in a patient with melanocytoma of the optic nerve. Retina. 2001;21:396–399. - PubMed
-
- Besada E, Shechtman D, Barr RD. Melanocytoma inducing compressive optic neuropathy: The ocular morbidity potential of an otherwise invariably benign lesion. Optometry. 2002;73:33–38. - PubMed
Publication types
MeSH terms
LinkOut - more resources
Full Text Sources
Medical