Coil embolization of an aberrant posterior tibial artery pseudoaneurysm after total knee arthroplasty
- PMID: 31763507
- PMCID: PMC6859296
- DOI: 10.1016/j.jvscit.2019.08.007
Coil embolization of an aberrant posterior tibial artery pseudoaneurysm after total knee arthroplasty
Abstract
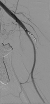
Arterial injury is a recognized but rare complication of total knee arthroplasty. These injuries, however, can be exceptionally devastating and potentially result in limb loss. Presentation may be delayed with symptoms associated with mass effect rather than with ischemia. We describe treatment of a patient with presentation delayed 2 weeks. In addition, the patient's arterial branch pattern demonstrated aberrant anatomy with high takeoff of the posterior tibial artery. This patient was successfully treated with transcatheter coil embolization. The current treatment options and published literature are reviewed.
Keywords: Coil embolization; Iatrogenic injury; Pseudoaneurysm.
© 2019 The Authors.
Figures




References
-
- O'Connor J.V., Stocks G., Crabtree J.D., Jr., Galasso P., Wallsh E. Popliteal pseudoaneurysm following total knee arthroplasty. J Arthroplasty. 1998;13:830–832. - PubMed
-
- Calligaro K.D., Dougherty M.J., Ryan S., Booth R.E. Acute arterial complications associated with total hip and knee arthroplasty. J Vasc Surg. 2003;38:1170–1177. - PubMed
-
- Padegimas E.M., Levicoff E.A., McGinley A.D., Sharkey P.F., Good R.P. Vascular complications after total knee arthroplasty—a single institutional experience. J Arthroplasty. 2016;31:1583–1588. - PubMed
-
- Langkamer V.G. Local vascular complications after knee replacement: a review with illustrative case reports. Knee. 2001;8:259–264. - PubMed
Publication types
LinkOut - more resources
Full Text Sources