Importance of Multiple-window Assessment for the Diagnosis of Ascending Aortic Dissection Using Point-of-care Ultrasound: Report of Three Cases
- PMID: 31763581
- PMCID: PMC6861016
- DOI: 10.5811/cpcem.2019.6.43245
Importance of Multiple-window Assessment for the Diagnosis of Ascending Aortic Dissection Using Point-of-care Ultrasound: Report of Three Cases
Abstract
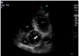
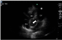
Acute ascending aortic dissection has a high mortality rate and requires rapid diagnosis and treatment. Point-of-care ultrasound (POCUS) can aid in the diagnosis. The aortic root is usually evaluated in the parasternal long-axis view; however, a dissection flap is not always visible in this projection. We present three cases of acute, type A aortic dissection in which the dissection flap was only evident in the apical five-chamber and subxyphoid views. These cases suggest that POCUS may play a pivotal role in the initial diagnosis of acute ascending aortic dissection and highlight the importance of viewing multiple windows to fully evaluate this possibility.
Copyright: © 2019 Zarama et al.
Conflict of interest statement
Conflicts of Interest: By the CPC-EM article submission agreement, all authors are required to disclose all affiliations, funding sources and financial or management relationships that could be perceived as potential sources of bias. The authors disclosed none.
Figures



References
-
- Hagan PG, Nienaber CA, Isselbacher EM, et al. The International Registry of Acute Aortic Dissection (IRAD): new insights into an old disease. JAMA. 2000;283(7):897–903. - PubMed
-
- Nienaber CA, Powell JT. Management of acute aortic syndrome. Eur Heart J. 2012;33(1):26–35. - PubMed
-
- Upadhye S, Schiff K. Acute aortic dissection in the emergency department: diagnostic challenges and evidence-based management. Emerg Med Clin North Am. 2012;30(2):307–27. - PubMed
-
- Perera P, Mailhot T, Riley D, et al. The RUSH exam: Rapid Ultrasound in SHock in the evaluation of the critically ill. Emerg Med Clin North Am. 2010;28(1):29–56. - PubMed
-
- Lang RM, Badano LP, Mor-Avi V, et al. Recommendations for cardiac chamber quantification by echocardiography in adults: an update from the American Society of Echocardiography and the European Association of Cardiovascular Imaging. J Am Soc Echocardiogr. 2015;28(1):1–39. - PubMed