Man With Bilateral Leg Swelling
- PMID: 31763617
- PMCID: PMC6861031
- DOI: 10.5811/cpcem.2019.9.43698
Man With Bilateral Leg Swelling
Abstract
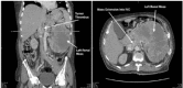
A 52-year-old man without known medical history presented with painful, progressive, bilateral lower extremity edema over a two-week period. An abdominal exam noted a firm left upper quadrant mass. Emergency department (ED) point-of-care ultrasound (POCUS) revealed a hyperechoic, heterogeneous structure in the inferior vena cava that was determined to represent a tumor thrombus extending from a primary renal cell carcinoma. This case demonstrates how POCUS was valuable in rapidly diagnosing this rare cause of lower extremity edema and its usefulness in directing the initial ED management of this patient.
Copyright: © 2019 Toy et al.
Conflict of interest statement
Conflicts of Interest: By the CPC-EM article submission agreement, all authors are required to disclose all affiliations, funding sources and financial or management relationships that could be perceived as potential sources of bias. The authors disclosed none.
Figures


References
-
- Pussell SJ, Cosgrove DO. Ultrasound features of tumour thrombus in the IVC in retroperitoneal tumours. Br J Radiol. 1981;54(646):866–9. - PubMed
-
- Lahham S, Tsai L, Wilson SP, et al. Thrombosis of inferior vena cava diagnosed using point-of-care ultrasound after pediatric near-syncope. J Emerg Med. 2016;51(4):e89–91. - PubMed