Peritoneal Tuberculosis: A Forsaken Yet Misleading Diagnosis
- PMID: 31781444
- PMCID: PMC6875249
- DOI: 10.1155/2019/5357049
Peritoneal Tuberculosis: A Forsaken Yet Misleading Diagnosis
Abstract
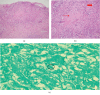
In women presenting with an abdominal mass and ascites, the first diagnosis to consider is ovarian cancer. However, clinicians should always consider alternative differentials, namely, peritoneal tuberculosis, especially in the presence of respiratory symptoms and with the increasing prevalence of extrapulmonary tuberculosis. Peritoneal tuberculosis can mimic the clinical presentation of ovarian cancer, and on imaging, it can show similar features of peritoneal carcinomatosis and nodules. Tumor markers can also be elevated in the absence of malignancy. We present the case of a 44-year-old woman with abdominal distension and ascites. Imaging with CT scan, MRI, and PET scan were inconclusive, showing peritoneal nodules. Cytology of ascites was negative. Laparoscopy was done showing Koch bacilli followed by pulmonary sampling showing Mycobacterium tuberculosis. The patient was treated with quadritherapy with resolution of symptoms.
Copyright © 2019 Joseph Kattan et al.
Conflict of interest statement
The authors declare that they have no conflicts of interest.
Figures


References
Publication types
LinkOut - more resources
Full Text Sources