Skip to main page content
U.S. flag

An official website of the United States government

Dot gov

The .gov means it’s official.
Federal government websites often end in .gov or .mil. Before sharing sensitive information, make sure you’re on a federal government site.

Https

The site is secure.
The https:// ensures that you are connecting to the official website and that any information you provide is encrypted and transmitted securely.

Access keys NCBI Homepage MyNCBI Homepage Main Content Main Navigation
Case Reports
. 2019 Dec 1;12(11):e230070.
doi: 10.1136/bcr-2019-230070.

Metastatic mucinous cystadenocarcinoma of the pancreas presenting as intractable back pain

Affiliations
Case Reports

Metastatic mucinous cystadenocarcinoma of the pancreas presenting as intractable back pain

Nicholas Pigg et al. BMJ Case Rep. .

Abstract

An 85-year-old woman presented to the emergency department for evaluation of gradually worsening upper back pain of 3 weeks' duration. Her pain radiated down her right arm and was associated with right arm weakness. She reported visiting pain medicine specialists who administered steroid and lidocaine injections, which failed to improve her symptoms. Initial CT of her chest revealed a large lytic lesion within her posterior right fourth rib extending into her T4 vertebral body. The primary malignancy, a mucinous cystadenocarcinoma of the pancreas, was later found on a CT of the abdomen. The patient was also found to have multiple pulmonary, hepatic and lymphatic metastases from the pancreatic primary tumour.

Keywords: interventional radiology; oncology; pancreatic cancer; radiology.

PubMed Disclaimer

Conflict of interest statement

Competing interests: None declared.

Figures

Figure 1
Figure 1
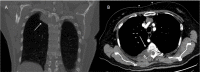
Annotated contrast-enhanced chest CT with coronal reconstruction in bone windows (A) and axial reconstruction in soft tissue windows (B) show an expansile destructive lytic lesion centred in the posterior right fourth rib, involving the T3 and T4 vertebral bodies, with a soft tissue component extending into the T3–T4 neural foramen (arrow).
Figure 2
Figure 2
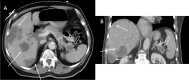
Annotated contrast-enhanced CT of the abdomen with axial image in soft tissue window at the level of the upper abdomen (A) and coronal reconstruction (B) show multiple irregular, hypoattenuating lesions throughout the liver parenchyma (closed arrows) and a round, hypoattenuating thick-walled cystic mass in the tail of the pancreas (open arrow).
Figure 3
Figure 3
Annotated contrast-enhanced CT of the abdomen and pelvis at the level of the pelvis in bone windows with axial images showing an expansile, lytic lesion within right sacral Ala (closed arrow) and two expansile lytic lesions within right iliac bone (open arrows).
Figure 4
Figure 4
Annotated axial fat-saturated T1-weighted contrast-enhanced MRI of the thoracic spine showing a peripherally enhancing lesion centred in the posterior right fourth rib (closed arrow) with an enhancing soft tissue component that invades the adjacent pleural space, right neural foramen and right lateral epidural space of the spinal canal (open arrow) and axial T2-weighted MRI of the thoracic spine showing areas of T2 hyperintensity within the lesion (arrow head) suggesting a fluid/mucinous component.

References

    1. Jo S, Julia K, Ash S. Chronic low back pain. BMJ 2003;326:535. - PMC - PubMed
    1. Gore RM, Wenzke DR, Thakrar KH, et al. . The incidental cystic pancreas mass: a practical approach. Cancer Imaging 2012;12:414–21. 10.1102/1470-7330.2012.9054 - DOI - PMC - PubMed
    1. Lee KS, Sekhar A, Rofsky NM, et al. . Prevalence of incidental pancreatic cysts in the adult population on MR imaging. Am J Gastroenterol 2010;105:2079–84. 10.1038/ajg.2010.122 - DOI - PubMed
    1. Björk Werner J, Sturesson C, Dawiskiba S, et al. . Mucinous cystadenocarcinoma of the pancreas - outcome following different modes of treatment. Ann Gastroenterol 2011;24:213–7. - PMC - PubMed
    1. Joshi U, Poudel P, Ghimire RK, et al. . Pancreatic pseudocyst or mucinous cystadenocarcinoma of pancreas? a diagnostic dilemma. Clin Case Rep 2017;5:501–4. 10.1002/ccr3.887 - DOI - PMC - PubMed

Publication types