Complications of hepatic echinococcosis: multimodality imaging approach
- PMID: 31792750
- PMCID: PMC6889260
- DOI: 10.1186/s13244-019-0805-8
Complications of hepatic echinococcosis: multimodality imaging approach
Abstract
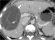
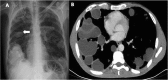
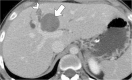
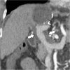
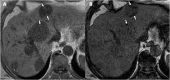
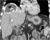
Hydatid disease is a worldwide zoonosis endemic in many countries. Liver echinococcosis accounts for 60-75% of cases and may be responsible for a wide spectrum of complications in about one third of patients. Some of these complications are potentially life-threatening and require prompt diagnosis and urgent intervention. In this article, we present our experience with common and uncommon complications of hepatic hydatid cysts which include rupture, bacterial superinfection, and mass effect-related complications. Specifically, the aim of this review is to provide key imaging features and diagnostic clues to guide the imaging diagnosis using a multimodality imaging approach, including ultrasound (US), computed tomography (CT), magnetic resonance (MR), and endoscopic retrograde cholangiopancreatography (ERCP).
Keywords: Computed tomography; Echinococcosis; Endoscopic retrograde cholangiopancreatography; Multimodal imaging.
Conflict of interest statement
Giuseppe Brancatelli has received lecture fees from Bayer; all the remaining authors declare they have no competing interests.
Figures
References
-
- https://www.who.int/echinococcosis/epidemiology/en/. Accessed 26 Jul 2019
-
- https://www.who.int/news-room/fact-sheets/detail/echinococcosis. Accessed 26 Jul 2019
-
- Eckert J, Gemmell MA, Meslin FX, Pawłowski ZS (2001) WHO/OIE manual on echinococcosis in humans and animals: a public health problem of global concern. Available via https://apps.who.int/iris/bitstream/handle/10665/42427/929044522X.pdf;js.... Accessed 26 Jul 2019
Publication types
LinkOut - more resources
Full Text Sources
