Central Serous Chorioretinopathy: Pathogenesis and Management
- PMID: 31819359
- PMCID: PMC6897067
- DOI: 10.2147/OPTH.S220845
Central Serous Chorioretinopathy: Pathogenesis and Management
Abstract
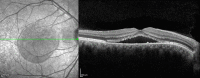
Central serous chorioretinopathy (CSC) is a common retina disease and has a relative high recurrence rate, etiology, and pathogenesis of which remains largely ambiguous. The effects on the retina are usually self-limited, although some people are left with permanent vision loss due to progressive and irreversible photoreceptor damage or retinal pigment epithelium atrophy. There have been a number of interventions used in CSC, including, but not limited to, laser treatment, photodynamic therapy (PDT), intravitreal injection of anti-vascular endothelial growth factor agents, and subthreshold lasers. It is not clear whether there is a clinically important benefit to treating acute CSC, which often resolves spontaneously as part of its natural history. Of the interventions studied to date, PDT and micropulse laser treatment appear the most promising. .
Keywords: acute central serous chorioretinopathy; central serous chorioretinopathy; chronic central serous chorioretinopathy.
© 2019 Semeraro et al.
Conflict of interest statement
Dr Andrea Pilotto reports personal fees from BioMarin, Chiesi, Nutricia, UCB, Zambon and Z-cube S.r.l.; grants from VItaflo Germany and Zambon Italy, Italian Ministry of Health, outside of the submitted work. The authors report no other conflicts of interest in this work.
Figures



References
Publication types
LinkOut - more resources
Full Text Sources